Содержание
Дисплазия тбс у собак диагностика и лечение в ветцентре Воронцова
Дисплазия суставов у собак — это аномальное, неправильное развитие сустава. У собак встречаются дисплазия локтевого сустава и тазобедренного сустава. Заболевание это полигенное и наследуемое.
Понятие дисплазия тазобедренного сустава включает в себя неправильное развитие вертлужной впадины и головки бедренной кости, что приводит к изменению суставной анатомии. Впервые эта болезнь была описана Dr. Gerry B. Schnelle в 1937 году.
Схема развития коксартроза на фоне дисплазии ТБС
Нарушение нормальной анатомии и биомеханики приводит к нестабильности, артриту и выраженным болезненным ощущениям.
Избыточный вес, нарушения фосфорно-кальциевого обмена и избыточные нагрузки в период роста могут способствовать неправильному развитию сустава.
Дисплазия у собак это частая причина хромоты на тазовые конечности у собак.
Одним из осложнений болезни является коксартроз у собак.
Породная предрасположенность к ДТБС у собак
Дисплазии тазобедренных суставов у собак проявляются у крупных пород:
- ротвейлер,
- ньюфаундленд,
- бернский зенненхунд,
- кане корсо,
- немецкая овчарка,
- лабрадор и др.
Заболевание бывает также у средних и мелких пород тоже.
Дисплазия тазобедренных суставов у собак симптомы
Заболевание проявляется в возрасте от 4 до 8 месяцев и характеризуется хромотой. Хромота зависит от степени дисплазии и развитии вторичных дегенеративных изменений.
- На начальном этапе с легкой степенью дисплазии ТБС у собаки отмечается «вихляющая» походка тазовой части, при беге задние лапы в движении напоминают походку прыгающего кролика.
- При развитии вторичного коксартроза появляется выраженная хромота, которая может усиливаться после нагрузок.
- С тяжелой степенью повреждения тазобедренных суставов животное встает с большим трудом и требует отдыха, даже после незначительных нагрузок.

Степени дисплазии у собак
А — нет признаков дисплазии;
В — состояние суставов почти в норме;
С — легкая степень дисплазии;
D — среднее проявление дисплазии в допустимых пределах;
Е — тяжелая дисплазия.
Диагностика дисплазии
Диагностика включает в себя клиническую оценку, пальпацию и рентгенологическое исследование. Для корректного проведения исследований желательно использование седации у животного. При пальпации отмечается гипотрофия мышц таза, а при отведении конечности назад выраженная болезненность.
Укладка пациента при проведении рентгенографии на дисплазию ТБС
Рентгенография является основным методом диагностики дисплазии тазобедренных суставов. При проведении рентгенологического исследования животное располагается на спине с вытянутыми тазовыми конечностями.
На рентгенограмме в зависимости от степени дисплазии (А, B, C, D, E) определяются различные рентгенологические признаки. Впервые рентгенологическая оценка ДТБС была дана в 1966 году Ортопедическим фондом животных образованным John Olin.
Рентген ТБС собаки. Норма
Рентген ТБС собаки. Двусторонняя дисплазия, артроз
Тесты на дисплазию у собак
Что такое тест на дисплазию у собак? Тесты предназначены для ранней диагностики заболевания. Основные тесты на дисплазию тбс — это тест дистракции PennHip и тест Ортолани.
Тест дистракции PennHip проводится щенкам с четырех месяцев для определения возможности развития дисплазии тазобедренного сустава. Если индекс дистракции будет более 0,25%, то вероятность развития болезни будет возрастать.
Тест дистракции. Норма
Тест дистракции при предрасположенности к дисплазии ТБС
Тест Ортолани проводят в 10-12 месяцев. Ортолани тест для собак определяет нестабильность и подвывих тазобедренного сустава.
Дисплазия тазобедренных суставов у собак лечение
Лечение дисплазии у собак зависит от степени хромоты. Существуют консервативные методы лечения и хирургические.
Консервативная терапия
Метод включает в себя использование лекарственных препаратов, диеты и лечебной физкультуры (физиотерапия).
Препараты от дисплазии для собак направлены на снятие боли и воспаления (НПВС, глюкокортикостероиды, миорелаксанты), а также как хондропротективная терапия.
Особое внимание необходимо уделять лечебной физкультуре, которая позволяет адаптироваться патологическим суставам к функциональной нагрузке. Очень часто бывает достаточно одной лечебной физкультуры для коррекции последствий дисплазии тазобедренных суставов.
Хирургическое лечение дисплазии
Оперативное лечение дисплазии ТБС зависит от её степени и возраста собаки. Наиболее популярны следующие методы хирургического лечения у собак:
- Ювенильный симфизиодез (JPS) выполняется в 4-5 месяцев, при отсутствии выраженного подвывиха. Суть данного оперативного вмешательства сводится к хирургической блокировке симфиза лонной кости. После проведения операции рост таза меняет свое направление и изменяются углы наклона вертлужной впадины.
- Тройная остеотомия таза (ТРО) операцию делают если нет артроза и возраст животного от 7 до 12 месяцев. Суть данного оперативного вмешательства заключается в изменении угла наклона вертлужной впадины за счет пересечения костей таза.
- Резекционная артроспластика выполняется животным, у которых отмечается выраженный коксартроз и подвывих сустава. Суть данного оперативного вмешательства заключается в удалении головки бедренной кости.
Основная цель: исключить синдром соударения и трения в зоне головки бедренной кости и вертлужной впадины на фоне артроза.
На месте головки образуется фиброзная или фибро-хрящевая ткань, а функция конечности сохраняется за счет мышечного аппарата.
Не рекомендуется проводить у собак с массой тела более 30 кг. - Эндопротезирование тазобедренного сустава выполняется у собак со стойкой болезненностью тазобедренного сустава. Выполняется оперативное вмешательство у собак с массой тела от 3 до 80 кг в возрасте после 10 месяцев.
Тотальное эндопротезирование — это полная замена сустава эндопротезом. На сегодня считается самым физиологичным способом восстановления функции тазобедренного сустава. - Пектинмитомия и ацетабулярная пластика были популярны в 1970 годы. На сегодняшний день практически не используются.
Владельцу собаки
Необходимо помнить, что дисплазия тазобедренных суставов у собак – это проблема, которая требует своевременной диагностики и скорейшего выбора оптимального метода лечения. Упустив возможность ранней коррекции патологии, владелец в дальнейшем сталкивается с серьезными последствиями прогрессирования коксартроза.
Основными последствиями коксартроза будут боли в суставах и нарушение их функции.
Ветцентр доктора Воронцова специализируется на лечении заболеваний опорно-двигательного аппарата у собак. Проводится много успешных операций по лечению суставов. Если у вашего питомца боль в лапах — позвоните нам и пройдите обследование у наших ветеринарных врачей. Болезнь можно предотвратить или вылечить за короткий срок в случае своевременного обращения.
Мы находимся в ЮАО, недалеко от пересечения МКАД и Каширского шоссе — Совхоз им. Ленина, дом 3а. Карта проезда. Метро Домодедовская, Орехово, Зябликово.
По любым вопросам можно проконсультироваться по телефонам:
+7(495) 740-48-59
+7(936) 001-03-04.
Дисплазия тазобедренных суставов — мифы и реальность
К сожалению, для собак это заболевание очень распространенное, причем всё чаще регистрируется даже у пород, не относящихся к группе риска; фактически любой щенок не застрахован от этой патологии.
К сожалению, для собак это заболевание очень распространенное, причем всё чаще регистрируется даже у пород, не относящихся к группе риска; фактически любой щенок не застрахован от этой патологии.
Меня, как врача-ортопеда очень беспокоит тот факт, что большая распространенность этого заболевания и тяжелые последствия (разрушение сустава и инвалидизация питомца) чаще всего происходят по причине неосведомленности владельцев, а не из-за коварности болезни.
Дело в том, что дисплазию ТБС несложно диагностировать еще ДО проявления клинических признаков (боль и хромота). Мало того, путем относительно несложной хирургической манипуляции можно ПРЕДОТВРАТИТЬ развитие болезни. Но диагностику и вмешательство необходимо осуществить в довольно короткий промежуток времени, что обусловлено физиологическими особенностями собак.
Почему же заболевание, которое несложно диагностировать и предотвратить, так распространено среди практически всех пород и возрастов собак?
Разберем по-порядку все факторы, которые, так сказать, сбивают с толку (или вводят в заблуждение) владельца и в итоге время оказывается упущено, приходится прибегать к крайним мерам.
Первый фактор
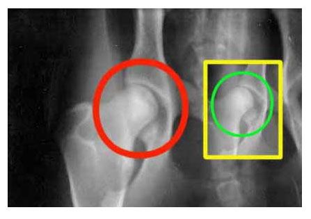
Непонимание самой сути болезни, что приводит к неправильным выводам и неэффективному «лечению». Суть болезни проста: тазобедренный сустав – это шаровидный сустав, головка бедренной кости держится внутри сустава очень плотно с помощью круглой связки (указана зеленой стрелкой):
Круглая связка очень короткая и не позволяет головке бедра выходить из сустава.
Термин «дисплазия» означает «нарушение развития». Чаще всего, очень упрощенно, это проявляется относительно длинной круглой связкой после 12-недельного возраста щенка. Это приводит к постоянному «скольжению» головки: она то немного выходит из впадины, то обратно заходит.
При каждом шаге щенка! А сколько шагов за день он делает? Очень много. При этом постепенно сустав становится всё менее плотным, «разбалтывается»; появляется боль и хромота. Обращаю внимание на то, что боль появляется из-за патологического скольжения головки, а не вследствие «растяжения», «травмы», «перетрудился» и т.
п. на этом этапе многие владельцы и врачи общей практики допускают ошибку, назначая просто обезболивающие, покой или какие-то повязки и ненужные препараты; упуская время и давая возможность суставу совсем разрушиться. Проблема кроется в нарушенной АНАТОМИИ и вылечить её можно, только исправив АНАТОМИЮ, т.е. прооперировав пациента.
Еще один сбивающий с толку фактор.
Практически все владельцы знают или слышали (а заводчики знают поголовно) про какие-то там тесты и исследования РКФ на дисплазию. Немного в курсе о возрасте собаки когда это надо делать (для мелких и средних собак – не ранее 1года, для крупных – от 18мес). Тут и кроется самый главный «подвох»! цели и задачи РКФ и врача-ортопеда абсолютно разные: цель РКФ – выявить наличие или отсутствие дисплазии у уже СФОРМИРОВАВШЕЙСЯ собаки для дальнейшего допуска к разведению или исключения. Задача врача – распознать болезнь на РАННИХ этапах и ПРЕДОТВРАТИТЬ её развитие. Т.е. ещё ДО появления рентгенологических и/или клинических признаков (боль и хромота) спрогнозировать развитие дисплазии и купировать её.
А это возможно только в период формирования скелета (костей таза в частности), т.е. гораздо раньше, нежели исследования РКФ. Не зная этих особенностей, владельцы не обращаются к ортопеду в самый благоприятный для вмешательства период, а идут к врачу, когда уже есть явные проблемы.
Нельзя не отметить важный психологический фактор
Если в родословной у щенка по поводу дисплазии ТБС все хорошо (есть заключения РКФ по родителям), то владелец расслабляется и думает, что у него уж точно ничего не может быть. К сожалению, это глубоко неверно! На это есть 2 причины: во-первых в нарушении развития тазобедренных суставов (т.е. дисплазии) «виновата» не только генетика: такую же значимую роль играет и рацион щенка, перенесенные болезни, тренировки и другие внешние факторы. Во-вторых генетические дефекты настолько распространены среди всех пород в мире, что (согласно исследованиям генетиков) нет ни одной собаки с совершенным геномом, каждая несет как минимум 4-5 дефектных генов ( Дж Паджетт «Контроль наследственных болезней у собак»).
В итоге – как бы генетически чиста не была конкретно Ваша собака, она не застрахована от дисплазии ТБС.
Теперь, познакомив владельцев с сутью дисплазии ТБС и выявив факторы, которые мешают вовремя обратиться к врачу, настало время ответить на главные вопросы:
А как же это «несложно» диагностировать и предотвратить развитие болезни?
Самое главное – время, когда необходимо обратиться к ортопеду. Повторюсь, это все зависит от развития костей таза. Интересующий нас период – примерно с 13 до 19 недельного возраста щенка. Как раз в это время можно прогнозировать развитие дисплазии в будущем и, главное, повлиять на этот процесс. Что очень важно – в это время нет еще никаких клинических проявлений; т.е. не нужно думать – «ага, моему щенку 16 недель, он не хромает, не нужно идти к ортопеду», необходимо придти и сделать тест, чтобы ПРЕДОТВРАТИТЬ болезнь.
Диагностировать необходимо с помощью теста Ортолани.
Щенку вводят миорелаксанты для расслабления мышц таза и врач пытается «выдвинуть» головку бедренной кости из впадины. Если это удается – значит, тест Ортолани положителен и дисплазия наиболее вероятно разовьется. На приведенном ниже видео заметно невооруженным глазом, что тест положителен. Обычно это не так заметно, а чувствуется руками ортопеда.
Предотвратить развитие.
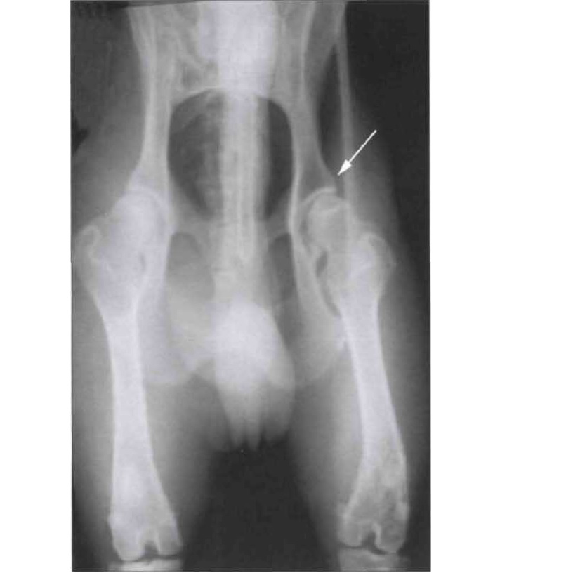
Хирургическое вмешательство, которое помогает сохранить сустав относительно здоровым, называется Ювенильный симфизиодез: производится разрез в районе лонных костей и область лонного симфиза прижигается определенным образом специальным прибором — эта манипуляция не дает костям таза разворачиваться в «неправильном» направлении. Рентгеновский снимок лабрадора через 7 месяцев после такой операции. Как видим, тазобедренные суставы сформировались без явных отклонений, несмотря на явный положительный тест Ортолани в 13 недельном возрасте.
Пример неприятного«сюрприза» для владельцев.
Ньюфаундленд, 7 лет (!) резко захромал несколько дней назад, после обследования выявлено полное разрушение сустава вследствие дисплазии.
В этом случае, к сожалению, поможет только удаление головки бедра или замена сустава с длительным реабилитационным периодом.
Поэтому, чтобы избежать «сюрпризов» в дальнейшей жизни Вашей собаки — после приобретения щенка сходите к ветеринарному врачу (а еще лучше ДО приобретения) и пообщайтесь по поводу его правильного развития.
Ортопед клиники «Добрый Доктор» Водопьянов Роман Викторович
Понравилась статья? Расскажи друзьям!
Дисплазия тазобедренного сустава у собак — Американский клуб собаководства
Дисплазия тазобедренного сустава — два слова, которые пугают владельцев собак крупных и гигантских пород, но правда в том, что дисплазия тазобедренного сустава у собак может случиться с собаками любого размера и породы.
Это болезненное состояние может резко снизить качество жизни собаки, и владельцам трудно наблюдать за ним. Хорошей новостью является то, что ответственное владение собакой и информирование себя о потенциальных состояниях здоровья, таких как дисплазия тазобедренного сустава, могут иметь большое значение для обеспечения комфорта вашей собаки.
Узнайте, что все владельцы должны знать о дисплазии тазобедренного сустава у собак, в том числе о симптомах, вариантах лечения и профилактических мерах, которые вы можете предпринять, чтобы ваша собака была здорова, счастлива и активна.
Что такое дисплазия тазобедренного сустава у собак?
Дисплазия тазобедренного сустава является распространенным заболеванием скелета, часто наблюдаемым у собак крупных или гигантских пород, хотя может встречаться и у мелких пород. Чтобы понять, как работает это состояние, владельцы должны сначала понять основную анатомию тазобедренного сустава.
Тазобедренный сустав функционирует как шар и гнездо.
У собак с дисплазией тазобедренного сустава шар и гнездо не подходят или развиваются должным образом, и они трутся и перетираются вместо того, чтобы плавно скользить. Это приводит к ухудшению состояния с течением времени и возможной потере функции самого сустава.
Что вызывает дисплазию тазобедренного сустава у собак?
Несколько факторов приводят к развитию дисплазии тазобедренного сустава у собак, начиная с генетики. Дисплазия тазобедренного сустава является наследственной и особенно часто встречается у крупных собак, таких как немецкий дог, сенбернар, лабрадор-ретривер и немецкая овчарка. Такие факторы, как чрезмерная скорость роста, виды физических упражнений, неправильный вес и несбалансированное питание, могут усилить эту генетическую предрасположенность.
Некоторые щенки имеют особые потребности в питании и нуждаются в корме, специально разработанном для щенков крупных пород. Эти продукты помогают предотвратить чрезмерный рост, который может привести к нарушениям скелета, таким как дисплазия тазобедренного сустава, дисплазия локтевого сустава и другие заболевания суставов.
Замедление роста этих пород позволяет их суставам развиваться без чрезмерной нагрузки, помогая предотвратить проблемы в будущем.
Неправильное питание также может повлиять на вероятность развития у собаки дисплазии тазобедренного сустава, равно как и слишком много или слишком мало физических упражнений. Ожирение создает большую нагрузку на суставы вашей собаки, что может усугубить ранее существовавшее состояние, такое как дисплазия тазобедренного сустава, или даже вызвать дисплазию тазобедренного сустава. Поговорите со своим ветеринаром о наилучшей диете для вашей собаки и соответствующем количестве упражнений, необходимых вашей собаке каждый день, чтобы поддерживать ее в хорошем физическом состоянии.
Глюкозамин для собак с заболеваниями суставов
Корма для собак крупных пород часто содержат добавки для суставов, такие как глюкозамин. Если ваш ветеринар диагностирует у вашей собаки артрит, глюкозамин, скорее всего, будет частью комплексного плана лечения. Скорее всего, они порекомендуют жевательную добавку с ветеринарной дозой глюкозамина и хондроитина.
Вы также можете приобрести добавки с этими ингредиентами для собак, которые в будущем могут быть склонны к развитию артрита и дисплазии тазобедренного сустава. Добавки для суставов часто используются в качестве раннего вмешательства и на протяжении всего прогрессирования артрита, поскольку они безопасны для длительного использования у большинства пациентов. Хотя исследования все еще ограничены, эти добавки могут помочь уменьшить симптомы дисплазии тазобедренного сустава.
Симптомы дисплазии тазобедренного сустава у собак
У некоторых собак признаки дисплазии тазобедренного сустава начинают проявляться в возрасте четырех месяцев. У других он развивается в сочетании с остеоартритом с возрастом. В обоих случаях есть несколько симптомов, с которыми владельцы должны быть знакомы. Эти симптомы могут варьироваться в зависимости от тяжести заболевания, уровня воспаления, степени подвижности сустава и того, как долго собака страдает дисплазией тазобедренного сустава.
- Снижение активности
- Уменьшенный диапазон движения
- Трудности или нежелание подниматься, прыгать, бегать или подниматься по лестнице
- Хромота на заднюю часть
- Покачивание, походка «заячьего прыжка»
- Решётка в стыке при движении
- Потеря мышечной массы бедра
- Заметное увеличение плечевых мышц, поскольку они компенсируют заднюю часть
- Боль
- Скованность или хромота
Диагностика дисплазии тазобедренного сустава у собак
При регулярном осмотре вашей собаки ветеринар проведет медицинский осмотр.
Иногда этого осмотра достаточно, чтобы ветеринар заподозрил дисплазию тазобедренного сустава. В других случаях владельцы должны сообщать ветеринарам, когда собаки испытывают дискомфорт.
Первое, что может сделать ваш ветеринарный врач, — это провести манипуляции с задними лапами вашей собаки, чтобы проверить подвижность сустава и проверить, нет ли скрежетания, боли или уменьшения диапазона движений. Физический осмотр вашей собаки может включать анализ крови, потому что воспаление, вызванное заболеванием суставов, может быть указано в общем анализе крови. Вашему ветеринару также потребуется история здоровья и симптомов вашей собаки, любые возможные инциденты или травмы, которые могли способствовать этим симптомам, а также любая имеющаяся у вас информация о происхождении вашей собаки.
Окончательный диагноз обычно ставится при рентгенографии или рентгенографии. Ваш ветеринар сделает рентгенограммы бедер вашей собаки, чтобы определить степень и серьезность дисплазии тазобедренного сустава, что поможет определить лучший курс лечения для вашей собаки.
Лечение дисплазии тазобедренного сустава у собак
Существует довольно много вариантов лечения дисплазии тазобедренного сустава у собак, начиная от изменения образа жизни и заканчивая хирургическим вмешательством. Если дисплазия тазобедренного сустава у вашей собаки не является серьезной или если ваша собака не является кандидатом на операцию по медицинским или финансовым причинам, ваш ветеринар может порекомендовать нехирургический подход. В зависимости от случая вашей собаки ветеринар может предложить следующее:
- Снижение веса для снятия нагрузки с бедер
- Ограничение физических нагрузок, особенно на твердых поверхностях
- Физиотерапия
- Добавки для суставов
- Противовоспалительные препараты (нестероидные противовоспалительные препараты, кортикостероиды)
- Модификаторы суставной жидкости
Если ваша собака является хорошим кандидатом на операцию, есть и другие варианты. Несмотря на то, что существует довольно много различных хирургических стратегий, наиболее распространенными операциями, которые ветеринары используют для лечения дисплазии тазобедренного сустава у собак, являются:
- Двойная или тройная остеотомия таза (ДПО/ТПО)
- Остеэктомия головки бедренной кости (FHO)
- Полная замена тазобедренного сустава (THR)
ДПО/ТПО
Операция ДПО/ТПО обычно проводится у молодых собак в возрасте до 10 месяцев.
В этой операции функция шаровидного сустава улучшается за счет выборочного рассечения тазовой кости и ротации сегментов.
FHO
Операция FHO может проводиться у молодых и взрослых собак. Операция включает в себя отсечение головки бедренной кости или «шарика» тазобедренного сустава. Это приводит к тому, что тело создает «ложный» сустав, который уменьшает дискомфорт, связанный с дисплазией тазобедренного сустава. Хотя FHO не восстанавливает нормальную функцию тазобедренного сустава, это может быть успешной стратегией обезболивания.
THR
Наиболее эффективным хирургическим методом лечения дисплазии тазобедренного сустава у собак является полная замена тазобедренного сустава. Хирург заменяет весь сустав металлическими и пластиковыми имплантатами. Это возвращает функцию тазобедренного сустава в более нормальный диапазон и устраняет большую часть дискомфорта, связанного с дисплазией тазобедренного сустава.
Профилактика дисплазии тазобедренного сустава у собак
Не все случаи дисплазии тазобедренного сустава можно предотвратить.
Тем не менее, есть некоторые шаги, которые вы можете предпринять, чтобы снизить риск развития этого заболевания у вашей собаки. Поддержание здоровья костной системы вашей собаки должно начинаться, когда ваша собака молода. Кормление вашего щенка соответствующей диетой даст ему преимущество в здоровом развитии костей и суставов и поможет предотвратить чрезмерный рост, который приводит к заболеванию.
По мере роста вашей собаки обеспечение надлежащего уровня упражнений и здоровой диеты предотвратит ожирение, которое является основным фактором, способствующим дисплазии тазобедренного сустава. Кроме того, ожирение вызывает множество других проблем со здоровьем у собак, поэтому воздержитесь от объедков и жирной пищи.
Как потенциальный владелец новой собаки, изучите породу по вашему выбору. Найдите ответственного заводчика, который проводит соответствующие проверки здоровья, такие как рентгенограммы на дисплазию тазобедренного сустава и многое другое.
Лучший способ, с помощью которого заводчики могут предотвратить наследственную дисплазию тазобедренного сустава, состоит в том, чтобы проверять своих племенных собак на это заболевание.
Тестирование здоровья Ортопедического фонда для животных (OFA) может помочь заводчикам определить состояние бедер своих собак, гарантируя, что они разводят только собак с тазобедренными суставами, оцененными как нормальные или выше.
Прогноз для собак с дисплазией тазобедренного сустава
Собаки с дисплазией тазобедренного сустава часто живут долгой и полноценной жизнью, особенно при лечении. Если вы считаете, что ваша собака может заболеть, поговорите со своим ветеринаром. Варианты лечения и изменения образа жизни, которые вы можете внести, чтобы ваша собака чувствовала себя комфортно в пожилом возрасте.
Дисплазия тазобедренного сустава у собак | VCA Animal Hospital
Мне сказали, что у моей собаки дисплазия тазобедренного сустава, но она не хромая. Верен ли этот диагноз?
Дисплазия тазобедренного сустава — деформация тазобедренного сустава, возникающая в процессе роста. Тазобедренный сустав представляет собой шаровидный сустав.
Во время роста как шар ( головка бедренной кости или бедренная кость), так и впадина в тазу ( вертлужная впадина ) должны расти с одинаковой скоростью.
При дисплазии тазобедренного сустава такого равномерного роста в щенячьем возрасте не происходит. Результатом является дряблость (разболтанность) сустава, сопровождаемая дегенеративное заболевание суставов (DJD) или остеоартрит (OA), который является попыткой организма стабилизировать ослабленный тазобедренный сустав.
Степень возникающей хромоты зависит от степени этих артритических изменений и может не коррелировать с внешним видом тазобедренного сустава на рентгенограммах. У некоторых питомцев со значительными признаками дисплазии тазобедренного сустава или остеоартроза на рентгенограммах могут отсутствовать какие-либо клинические признаки, а у других с минимальными изменениями могут возникать сильные боли и хромота.
Чем это вызвано?
Дисплазия тазобедренного сустава — это генетическое заболевание, на которое влияют такие факторы, как диета, окружающая среда, физические упражнения, скорость роста, мышечная масса и гормоны.
Поскольку это заболевание чаще всего наблюдается у собак крупных пород (обычно более 50 фунтов или 22 кг), этих щенков следует поддерживать с нормальным, тощим весом во время роста, а не перекармливать и поощрять их рост.
«Дисплазия тазобедренного сустава — это генетическое заболевание, на которое влияют такие факторы, как диета, окружающая среда, физические упражнения, скорость роста, мышечная масса и гормоны».
Одно исследование щенков, подверженных риску дисплазии тазобедренного сустава, показало, что при кормлении столько, сколько они хотели есть, у двух третей щенков развилась дисплазия тазобедренного сустава, в то время как только одна треть щенков, получавших дозированное питание, страдала дисплазия. Исследование немецких овчарок показало, что у щенков с избыточным весом вероятность развития дисплазии тазобедренного сустава почти в два раза выше, чем у их собратьев с нормальным весом. Эти исследования позволили производителям продуктов питания разработать специальные рационы для щенков крупных пород.
Если это наследственное заболевание, некоторые породы страдают больше, чем другие?
Да, хотя любая собака может быть поражена, в основном это наблюдается у более крупных собак, таких как немецкие овчарки, сенбернары, лабрадоры-ретриверы, золотистые ретриверы, староанглийские овчарки и бульдоги. Крупные смешанные породы собак также подвержены риску развития дисплазии тазобедренного сустава, и в первый год их следует кормить специальной диетой для роста крупных пород.
Какие симптомы следует искать?
Обычными клиническими признаками являются слабость и боль в задних конечностях. Собака кажется шаткой и не хочет вставать из сидячего или лежачего положения. Некоторые собаки хромают или отказываются подниматься по лестнице. Эти признаки можно увидеть у щенков уже в возрасте нескольких месяцев, но чаще всего они встречаются у собак в возрасте от одного до двух лет. У собак с легкой дисплазией тазобедренного сустава на рентгенограммах (рентгеновских снимках) может развиться минимальный артрит без клинических признаков, пока они не станут старше.
На самом деле, хотя дисплазия тазобедренного сустава начинается в щенячьем возрасте, у большинства собак клинические признаки не проявляются, пока они не станут старше. Часто требуются годы постепенной дегенерации костей, пока у собаки не появятся симптомы.
Как это диагностируется?
Рентгенограмма тазобедренного сустава под общей анестезией является предпочтительным методом диагностики дисплазии тазобедренного сустава. Клинические признаки и ощутимая слабость суставов также могут указывать на дисплазию тазобедренного сустава. Любой питомец с подозрением на дисплазию тазобедренного сустава должен быть как можно скорее подвергнут рентгенографии.
Что такое лечение?
Лечение зависит от клинических признаков животного и степени дискомфорта. Существуют очень эффективные нестероидные противовоспалительные препараты (НПВП) (например, мелоксикам, торговая марка Мелоксикам®), которые имеют минимальные побочные эффекты. Выбор препарата осуществляется в индивидуальном порядке, и можно попробовать различные препараты, прежде чем найти наиболее эффективный.
«Лечение зависит от клинических признаков питомца и степени дискомфорта.»
Большинство собак с дисплазией тазобедренного сустава должны получать одобренные ветеринарами пищевые добавки с глюкозамином, хондроитинсульфатом и омега-3 жирными кислотами. Многим собакам с болезненной дисплазией тазобедренного сустава помогают регулярные инъекции полисульфатированных гликозаминогликанов. Умеренные ежедневные физические упражнения, избегающие ударных нагрузок, таких как прыжки, могут помочь сохранить подвижность пациента и укрепить окружающие поддерживающие структуры.
Было показано, что физиотерапия очень эффективна для улучшения качества жизни пораженной собаки и должна быть частью любой схемы лечения. Поскольку избыточный вес создает чрезмерную нагрузку на тазобедренные суставы, собакам с избыточным весом настоятельно рекомендуется снижение веса.
Что делать, если НПВП не помогают?
Альтернативой НПВП и медикаментозной терапии является хирургическое вмешательство.

На месте головки образуется фиброзная или фибро-хрящевая ткань, а функция конечности сохраняется за счет мышечного аппарата.