Остеохондропатия бугра пяточной кости или болезнь Шинца. Болезнь шпица пятки
Болезнь Шинца - причины, симптомы, диагностика и лечение
Болезнь Шинца (остеохондропатия бугра пяточной кости, болезнь Гаглунда-Шинца) – асептический некроз бугра пяточной кости. Чаще страдают девочки подросткового возраста. Причина развития окончательно не выяснена. Предполагается, что заболевание возникает вследствие местных сосудистых расстройств, возникающих при врожденной предрасположенности, в результате инфекций, обменных нарушений и т. д. Основным провоцирующим фактором является перенапряжение во время тренировок и частые травмы пяток. Болезнь проявляется постепенно усиливающимися болями в области пяточного бугра. Боли становятся более интенсивными при движениях и нагрузке. Со временем из-за выраженного болевого синдрома пациенты начинают ходить с опорой только на переднюю часть стопы. Диагноз выставляется на основании симптомов и характерных рентгенологических признаков. Лечение консервативное, прогноз благоприятный.
Болезнь Шинца – остеопатия апофиза (бугра) пяточной кости. Провоцирующим моментом являются постоянные перегрузки стопы (обычно при занятиях спортом) и повторяющиеся травмы пяток, иногда незначительные. Как правило, данная остеохондропатия развивается у девочек 10-16 лет, мальчики страдают реже. Нередко поражаются обе пятки. По мере взросления болезнь самопроизвольно проходит. Боли в пятке могут сохраняться достаточно долго, порой – до завершения роста ребенка. Данная патология чаще выявляется у спортсменок, однако иногда встречается и у малоактивных детей. Относится к заболеваниям юношеского и детского возраста, у взрослых встречается очень редко.
Пяточная кость – самая крупная кость стопы, по своей структуре относится к губчатым костям. Она несет значительную часть нагрузки на стопу при беге, ходьбе и прыжках, участвует в образовании нескольких суставов, является местом прикрепления связок и сухожилий. На задней поверхности кости есть выступающий участок – пяточный бугор, который и поражается при болезни Шинца. В средней части к этому бугру прикрепляется ахиллово сухожилие, а в нижней – длинная подошвенная связка.
Причины и стадии развития болезни Шинца
Причиной возникновения болезни Шинца является асептический некроз пяточного бугра, который может возникать в результате генетической предрасположенности, нарушений обмена, нейротрофических расстройств, перенесенных инфекций и частых травм стопы. Пусковым фактором становится высокая механическая нагрузка на бугор пяточной кости, сухожилия стопы и ахиллово сухожилие. Генетическая предрасположенность определяет малое количество или уменьшенный диаметр сосудов, участвующих в кровоснабжении пяточной кости, а инфекции, травмы и другие обстоятельства оказывают неблагоприятное влияние на состояние артерий. Из-за чрезмерных нагрузок тонус сосудов нарушается, участок кости перестает в достаточном количестве получать питательные вещества, развивается асептический некроз (разрушение кости без воспаления и участия инфекционных агентов).
Выделяют пять стадий болезни Шинца:
- Асептический некроз. Питание участка кости нарушается, возникает очаг омертвения.
- Импрессионный (вдавленный) перелом. Омертвевший участок не может выдерживать обычные нагрузки и «продавливается». Одни участки кости вклиниваются в другие.
- Фрагментация. Пораженная часть кости разделяется на отдельные отломки.
- Рассасывание некротизированных тканей.
- Репарация. На месте некроза образуется соединительная ткань, которая в последующем замещается новой костью.
Симптомы болезни Шинца
Обычно заболевание развивается в пубертатном возрасте, хотя возможно и более раннее начало – описаны случаи болезни Шинца у пациентов 7-8 лет. Начинается исподволь. Возможны как острые, так и постепенно усиливающиеся боли в пятке. Болевой синдром возникает преимущественно после нагрузки (бега, продолжительной ходьбы, прыжков). В области пяточного бугра появляется видимая припухлость, однако признаки воспаления (гиперемия, характерное давление, жжение или распирание) отсутствуют. Отличительными признаками болевого синдрома при болезни Шинца является появление болей при вертикальном положении тела через несколько минут или сразу после опоры на пятку, а также отсутствие болей в ночное время и в покое.
Тяжесть заболевания может различаться. У части пациентов болевой синдром остается умеренным, опора на ногу нарушается незначительно. У другой части боли прогрессируют и становятся настолько невыносимыми, что опора на пятку полностью исключается. Больные вынуждены ходить, опираясь только на средний и передний отделы стопы, у них возникает потребность в использовании трости или костылей. При внешнем осмотре у большинства пациентов выявляется умеренный локальный отек и атрофия кожи. Нередко имеет место нерезко или умеренно выраженная атрофия мышц голени. Характерной особенностью болезни Шинца является кожная гиперестезия и повышенная тактильная чувствительность пораженной области. Пальпация области пяточного бугра болезненна. Разгибание и сгибание стопы затруднены из-за боли.
Диагностика и дифференциальная диагностика болезни Шинца
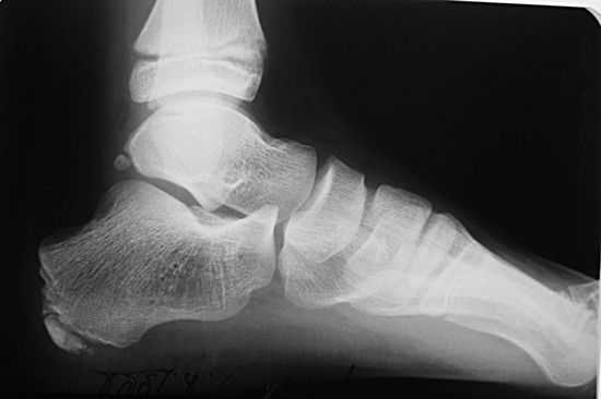
Диагноз выставляется ортопедом с учетом анамнеза, клинической картины и рентгенологических признаков. Наиболее информативен снимок в боковой проекции. Рентгенография пяточной кости на 1 стадии заболевания свидетельствует об уплотнении бугра, расширении щели между бугром и собственно пяточной костью. Выявляется также пятнистость и неравномерность структуры ядра окостенения, участки разрыхления кости и коркового вещества и смещенные в сторону от центра секвестроподобные тени. На поздних стадиях на рентгенограммах видны фрагменты бугра, а затем признаки перестройки и формирования нового губчатого вещества кости. В норме пяточный бугор может иметь до четырех ядер окостенения, что часто затрудняет рентгендиагностику. В сомнительных случаях выполняют сравнительную рентгенографию обеих пяточных костей либо направляют пациентов на КТ пяточной кости или МРТ пяточной кости.
Дифференциальная диагностика проводится с бурситом и периоститом пятки, остеомиелитом, костным туберкулезом, злокачественными новообразованиями и острыми воспалительными процессами. Исключить воспаление помогает нормальная окраска кожи в пораженной области и отсутствие специфических изменений крови – СОЭ в норме, лейкоцитоза нет. Для костного туберкулеза и злокачественных опухолей характерны вялость, раздражительность, отказ от привычного уровня физической активности из-за повышенной утомляемости. При болезни Шинца все перечисленные проявления отсутствуют.
Бурсит и периостит пяточной кости развиваются преимущественно у взрослых, резкие боли возникают по утрам и при первых движениях после перерыва, затем пациент «расхаживается» и боль обычно уменьшается. Болезнью Шинца страдают подростки, боль усиливается после нагрузки. Окончательно дифференцировать болезнь Шинца от других заболеваний помогает рентгенография, МРТ и КТ. В сомнительных случаях может потребоваться консультация онколога или фтизиатра.
Лечение болезни Шинца
Лечение обычно консервативное, осуществляется в условиях травмпункта или амбулаторного ортопедического приема. Пациенту рекомендуют ограничить нагрузку на ногу, назначают специальные гелевые подпяточники или ортопедические стельки. При резких болях возможна кратковременная фиксация гипсовой лонгетой. Больного направляют на озокерит, электрофорез новокаина с анальгином, ультразвук и микроволновую терапию. Для уменьшения болей применяют лед, назначают препараты из группы НПВП. Показан также прием сосудорасширяющих средств, витаминов В6 и В12.
После уменьшения болей нагрузку на ногу можно возобновить, используя обувь с устойчивым широким каблуком. Ходить в обуви на сплошной подошве не рекомендуется – это увеличивает нагрузку на пяточную область и затягивает выздоровление.
В отдельных случаях при невыносимых болях и отсутствии эффекта от консервативной терапии выполняют хирургическое вмешательство – невротомию подкожного и большеберцового нервов и их ветвей. Следует учитывать, эта операция не только полностью избавляет пациента от боли, но и приводит к потере кожной чувствительности в области пятки.
Прогноз при болезни Шинца
Прогноз при болезни Шинца благоприятный – обычно все симптомы исчезают в течение 1,5-2 лет. Иногда боли сохраняются в течение более длительного времени, вплоть до полного завершения роста стопы, но исходом в таких случаях тоже становится полное выздоровление.
www.krasotaimedicina.ru
Болезнь Шинца у детей - симптомы и лечение
Широкое распространение, но скромную известность сегодня имеет болезнь Шинца у детей. Это заболевание представляет собой асептический некроз пяточной кости. Первое документальное упоминание об этом явлении зафиксировано еще в 1907 году шведским хирургом Хаглундом.
Позже за подробное изучение болезни взялся сам Шинц. Он сделал огромный вклад в разработку вопроса лечения хондропатии кости, благодаря чему феномен получил его имя.
Характеристика
Болезнь Шинца – это проблема, чаще всего спровоцированная регулярной перегрузкой пятки и недостаточным кровоснабжением. Структура пяточной кости позволяет классифицировать ее как губчатую кость. Она берет на себя нагрузку всего нашего тела в процессе спокойного передвижения, бега или прыжков.
В стопе сосредоточены сухожилия, суставы и связки, которые фиксируются благодаря пяточной кости. Ее тыльная часть имеет небольшой бугорок, который и является участком поражения болезни Шинца у детей. В период нагрузки на бугорок сосуды недополучают необходимую норму питательных веществ. Кость начинает разрушаться изнутри без видимых внешних признаков.
к содержанию ↑Причины болезни Шинца у детей
Почему возникает болезнь Шинца у детей и взрослых все еще не известно до конца, но заболевание может появляться ввиду следующих факторов:
- генетическая наследственность;
- воспаление в районе ахиллова сухожилия;
- последствие перенесенной инфекции;
- излишняя физическая нагрузка на пяточный бугор;
- микротравмы пяточной кости, спровоцированные слабым кровоснабжением;
- нарушение процессов обмена и усвоения веществ в организме;
- сосудистые расстройства ступней ног;
- повышенная физическая нагрузка при спортивных занятиях;
- заболевания эндокринной системы на почве гормонального расстройства.
Группа риска при болезне Шинца
Чаще всего фиксируют болезнь Шинца у детей и подростков. Наиболее подвержены риску заболевания девочки в возрасте 7-8 лет. У юношей симптомы болезни Шинца проявляются реже и в более позднем возрасте, — 9-11 лет. Пораженными могут оказаться как две ноги сразу, так и всего одна.
Вместе с тем, как взрослеет ребенок, болезнь может пройти сама. Однако, болевые симптомы могут продолжать проявлять себя вплоть до завершения роста подростка.
Чаще всего болезнь Шинца встречается у спортивных детей, но иногда и малоподвижные ребята имеют ее симптомы из-за генетической предрасположенности.

Симптомы болезни Шинца
Развитие болезни – индивидуальный процесс. Там, где одни пациенты при латентном протекании заболевания даже не чувствуют проявления симптомов, другие опираются на пятку при ходьбе с ощутимой болью.
Основные симптомы болезни Шинца:
- боль в тыльной части стопы во время передвижения;
- сгибание и разгибание стопы приносит дискомфорт и даже болевые ощущения;
- хромота при ходьбе из-за болезненных ощущениях при опоре на стопу;
- покраснение кожи в районе пяточной кости;
- образование припухлости в месте крепления сухожилий и суставов;
- общее повышение температуры тела либо жар в очаге боли;
- стихание боли после завершения ходьбы и принятия лежачего положения.
При возникновении непривычных болевых симптомов пятки лучше обратиться к ортопеду для прохождения диагностических процедур.
к содержанию ↑Стадии заболевания
Шинц выявил пять стадий изучаемого заболевания:
- Асептический некроз. Нестабильность процесса кровообращения ведет к ухудшению питания тканей пятки, что ведет к их оцепенению.
- Импрессионный перелом. Пораженный участок пятки продавливается за счет скопления в нем мертвых тканей, которые утратили способность выполнять свои функции.
- Поврежденное место пяточной кости дробится на осколки.
- Некроз тканей рассасывается.
- В местах образования некротизированных тканей появляется соединительная ткань, которая со временем замещается новой костью.
Диагностика болезни Шинца
Окончательный диагноз выставляет врач-ортопед. Он руководствуется анамнезом, информацией, полученной при опросе и осмотре, и рентгенологическими признаками. По результатам визуального осмотра ребенка врач устанавливает возможные причины появления болезни Шинца, определяет время начала ее развития и фиксирует имеющиеся симптомы.
Рентгенография может показать:
- пятна в районе паточной кости и отсутствие однородности затемнения пяточного бугра;
- отсутствие однородности структуры ядра окостенения;
- возможные места разрыхления пяточной кости;
- процесс формирования обновленного губчатого вещества в отдельных участках кости пятки;
- при остром протекании заболевания можно увидеть отделение осколков и образование пространства между костью пятки и апофизом.

Поскольку пяточный бугор часто имеет около четырех эпицентров окостенения, этот факт иногда затрудняет диагностику болезни Шинца. Для формирования правильного диагноза ортопед может назначить сравнительную рентгенодиагностику. Если эта процедура не дает полной картины для вынесения диагноза, пациента отправляют на КТ или МРТ пятки.
Необходимо учесть, что боль в ноге может оказаться не только признаком болезни Шинца, но и симптомом других заболеваний пяточной кости.
Дискомфорт в области пяточной кости может оказаться предпосылкой туберкулеза костей, периостита пятки, бурсита, остеомиелита.
к содержанию ↑Как лечить болезнь Шинца у детей
Лечение заболевания может происходить двумя способами: народными средствами дома или в поликлинике под руководством врача. сходя из возраста ребенка и этапа протекания болезни, врач выбирает необходимое лечение. Обычно оно имеет консервативную форму: стопу фиксируют в неподвижном состоянии при помощи гипсовой лонгеты. Пациенту назначают компрессы, лекарства и физиопроцедуры (озокерит, электрофорез, микроволновая терапия, ультразвук по отдельности или в комплексе).
Если заболевание имеет латентную форму, ребенок чаще всего обходится ортопедическими стельками или подпяточниками из геля. Иногда назначают массаж, лечебную физкультуру. По своему усмотрению ортопед может прописать витамины и обезболивающие средства из группы нестероидных противовоспалительных препаратов.
Для лечения болезни Шинца у детей подходят Парацетамол и Ибупрофен, как наиболее безопасные в возрасте до 16 лет. Если же указанные средства не дают нужного эффекта, или болезнь поразила взрослого, обычно назначают Кетопрофен или Диклофенак.
Для улучшения кровообращения в организме больному могут выписать Дибазол, Троксевазин, Берлитион. Показаны к применению и витамины, в частности, В6 (улучшает обменные процессы белков и жиров) и В12 (способствует усвоению кислорода клетками).
Хороший эффект при ранних этапах болезни Шинца у детей могут оказать обезболивающие мази. Применяют Диклак, Долобене, Фастум гель и т.д. Важно убедиться перед использованием, что мазь показана к использованию детям.
к содержанию ↑Операция при болезни Шинца
Очень редко, но все же встречается необходимость хирургического вмешательства. Данный метод применяется при отсутствии результата от консервативных мероприятий. Врач производит поперечное отсечение большеберцового и подкожного нерва. Побочным эффектом такого хирургического вмешательства является потеря ребенком чувствительности в тыльной части стопы, но это никак не мешает при ходьбе.
Необходимо отметить, что, если перед операцией ребенок мог самостоятельно передвигаться, для реабилитации ему рекомендуют ношение ортопедической обуви. Иногда таким детям требуется дополнительная опора (костыли, трость). Если больной не мог самостоятельно передвигаться еще до того, как его прооперировали, — ортопед применяет специализированные аппараты, захватывающие коленный сустав.
Когда болезнь Шинца была вовремя диагностирована и вылечена, пяточная кость регенерируется. Если же лечение не было оказано вовремя, пяточный бугор остается деформированным. Это не обязательно сопровождается болевыми ощущениями, но однозначно принесет дискомфорт при подборе и ношении обуви ребенком.
Своевременное обращение к профильному специалисту поможет избежать хирургического вмешательства.
к содержанию ↑Лечение дома
Народные средства также могут помочь при болезни Шинца. Эффективным методом домашнего лечения считается применение теплых ванн с морской солью, которую растворяют в воде в количестве 400 г и окунают в раствор стопы на 15 минут. Ежедневное применение такой процедуры помогает избавиться от болевого синдрома и дискомфорта в ногах.

Профилактика
Поскольку болезнь Шинца чаще всего касается детей, стоит обратить внимание на их возрастные особенности. Ключевым фактором здесь является тот факт, что нога ребенка находится в процессе развития, как и все тело. Для правильного формирования стопы необходимо подбирать удобную обувь, которая имеет:
- широкий и устойчивый каблук;
- супинатор;
- жесткий задник, фиксирующий пятку.
Прогнозы при болезни
Чаще всего прогнозы оказываются положительными. Проявление симптомов болезни Шинца у детей исчезает уже через два года после терапии. Если этого не происходит, и боль продолжает тревожить, полное выздоровление происходит после того, как стопа перестает расти.
daspina.info
Болезнь Шинца у детей: причины появления, симптомы и лечение
У детей возрастной категории от 7 до 15 лет, занимающихся спортом, возможно развитие такой патологии, как болезнь Шинца. Она связана с разрушением губчатой кости пятки и может привести к хромоте и болям в суставах. Однако не стоит отчаиваться, ведь это заболевание излечимо, если выполнять все предписания, рекомендованные врачами.
Общая характеристика болезни Шинца у детей

В научном словаре болезнь Шинца определяется как остеохондропатия пяточной кости. Дело в том, что у каждого человека процесс окончательного формирования костного аппарата завершается к совершеннолетию, и если в этом возрасте подвергать пяточную кость большим нагрузкам, то можно добиться развития болезни Шинца. У детей, не занимающихся спортом, это заболевание, как правило, не возникает, поскольку у них нет постоянных нагрузок на ноги.
Болезнь Шинца развивается из-за неправильной циркуляции кровоснабжения в пяточной области. Кровь просто не успевает нормально двигаться из-за постоянных скачков и прыжков. В результате происходит некроз губчатой ткани и неправильное формирование окостенения.
Как проявляется патология?
Специалистами это заболевание всесторонне изучено и исследовано, поэтому они без особых сложностей могут поставить диагноз пациенту. Чаще всего болезнь Шинца развивается у мальчиков и у 20% девочек, занимающихся спортивными играми. Зачастую поражается только одна пятка, но в редких случаях могут подвергнуться болезни и две ноги одновременно.
Симптомы болезни Шинца у детей:
- болезненные ощущения в области пятки с постепенным нарастанием и усилением хромоты;
- ноющая боль усиливается после занятий спортом и длительной ходьбы;
- появление на задней стороне пятки припухлости, сопровождающейся ноющей болью, особенно в момент прикосновения и нажатия на нее;
- попытки ребенка ходить на носочках из-за невозможности опираться на пятку;
- уменьшение двигательной способности стопы.

Припухлость выше пятки появляется при запущенной форме заболевания, но при этом не сопровождается температурой и покраснением. Процесс развития болезни Шинца у детей проходит по-разному: иногда в течение месяца, а в редких случаях может продолжаться на протяжении двух лет.
Постоянное напряжение сухожилий приводит к давлению на мышечную ткань и, как следствие, к появлению припухлости. Временное уменьшение нагрузки на ноги не дает положительного результата, так как для окончательного выздоровления необходимо пройти полный курс лечения.
Главные причины появления и развития болезни Шинца в детском возрасте
Врачи выделяют несколько явных причин, которые могут повлиять на развитие болезни Шинца у детей. К ним относятся:
- недоразвитость кровеносных сосудов;
- слабая мышечная ткань;
- нехватка кальция в организме, что приводит к разрушению костного хряща;
- генетическая предрасположенность;
- нарушение эндокринной системы;
- травмы пяток или голени в детском возрасте.
Необходимо внимательно следить за ребенком и при первых же симптомах болезни обращаться к врачу, так как несвоевременное лечение может ухудшить последующий результат выздоровления. Не исключено, что процесс лечения при запущенной форме болезни растянется на долгие годы и не даст конечного положительного результата.
Читайте также:
Диагностирование патологии и ее лечение

Развитие болезни Шинца можно определить по жалобам ребенка и во время внешнего осмотра. Врач-ортопед проводит диагностику, опираясь на результат рентгеновского снимка, чтобы понять сложность заболевания и назначить правильное лечение. В хирургии встречаются заболевания, которые похожи на недуг Шинца, поэтому нужно быть предельно осторожными при постановке диагноза. Схожая симптоматика наблюдается у таких болезней, как:
- периостит;
- бурсит;
- пяточный туберкулез;
- остеомиелит.
Курс лечения назначается исходя из таких критериев:
- запущенности болезни;
- степени разрушения пяточной кости;
- наличия либо отсутствия припухлости;
- уровня болезненных ощущений.
При болезни Шинца у детей, как правило, лечение консервативное и, прежде всего, включает ограничение передвижения пациента. Уменьшение нагрузки на пятки производится за счет тугой повязки из эластичного бинта либо гипса. Если развитие патологии сопровождается болями, то назначаются физиотерапевтические процедуры и применение обезболивающих лекарств. В качестве физиотерапии проводят:

- электрофорез;
- диатермию;
- ультразвук с гидрокортизоном.
Европейские специалисты советуют проводить терапию из ванн с расслабляющими маслами и травами, а также применять озокеритовые аппликации.
Основные правила реабилитационного периода:

- после полного выздоровления врачи рекомендуют избегать больших нагрузок на ноги;
- обувь следует носить только со специальными ортопедическими стельками без каблуков;
- для каждого пациента стелька должна подбираться индивидуально по специальному заказу;
- ребенок с болезнью Шинца в обязательном порядке освобождается от физкультуры и тренировок;
- нагрузки на стопу должны быть минимальными;
- для фиксации пятки в правильном положении лучше носить обувь с высоким задником и на шнурках.
Можно ли вылечить ребенка в домашних условиях?

Специалистами не выявлено народных методов лечения болезни Шинца, поэтому необходимо строго придерживаться предписаний врачей и не заниматься самолечением. В домашних условиях можно только накладывать компрессы для уменьшения болезненных ощущений и принимать согревающие ванны.
В случае сильной боли рекомендуется смазывать пятки такими противовоспалительными мазями:
- Фастум гель;
- Диклак;
- Троксевазин.
Для снятия отека можно применять ванночки из морской соли, а также делать аппликации из лечебных грязей.
Читайте также:
Практически в большинстве случаев болезнь Шинца у детей проходит без осложнений, но иногда приходится проводить операцию по отсечению нервного поперечного ствола. Такое хирургическое вмешательство не всегда оправдано, так как любой неправильный прыжок впоследствии может привести к серьезным осложнениям. Выполнение родителями всех рекомендаций лечащего специалиста позволит вернуть здоровье ребенку.
ladyspecial.ru
Болезнь Шинца - симптомы и лечение
Болезнь Шинца (Хаглунда) – это довольно распространенное заболевание среди людей, ведущих активный образ жизни и занимающихся спортом. Вообще такой образ жизни имеет много рисков в плане получения травм и проблем с конечностями и сухожилиями, но без спорта и движения жить полноценно невозможно. Чаще проявляется у девочек 13-16 лет. Причиной возникновения служат различные травмы пяток и перенапряжение ахиллова сухожилия или других сухожилий мышц подошвы стопы при занятиях разными видами спорта и энергичными танцами.
По-научному болезнь называется «остеохондропатия апофиза кости пяточной». Данное заболевание было выявлено и описано в самом начале прошлого века шведским хирургом с интересной фамилией Хаглунд, позднее ее изучил и сам Шинц, в честь которого и назвали недуг. Болезнь Шинца у детей совсем еще маленьких (до десяти лет) встречается очень редко, потому что все их косточки и хрящи мягки и податливы. Начинается с возникновения острой, а также постепенно усиливающейся боли в районе пяточного бугра, особенно после определенной нагрузки, например, длительной ходьбы. Над бугром пяточной кости появляется припухлость без видимых признаков острого воспаления – жжения и появления красноты. Если стопу разогнуть или начать пальпировать, то в этой области пятки сразу же даст о себе знать выраженная боль. Чаще всего болезненный процесс приходится на какую-то одну сторону пятки.
Как определить болезнь Шинца по внешним признакам? Больные ходят, прихрамывая и полностью опираясь на переднюю часть стопы. Диагностировать заболевание с помощью рентгена трудно, потому что и в нормальном состоянии у детей апофиз кости пяточной имеет до четырех ядрышек окостенения, из которых среднее обычно имеет уплотнение. Смежная поверхность апофиза и пяточной кости, как правило, имеют зазубрины. Болезнь Шинца по рентгенологическому исследованию можно определить, если уплотненное ядро окостенения имеет пятнистую структуру.
Если диагностирована болезнь Шинца, лечение обычно назначается консервативное. При появлении выраженных болей, которые заметно усиливаются при опоре на пятку, воспаленную конечность необходимо зафиксировать при помощи гипсовой лонгеты и исключить всяческую нагрузку. Естественно, нельзя заниматься спортом, нужно стараться как можно меньше ходить, опираясь на пораженную конечность. В это же время нужно провести электрофорез лекарства - новокаина, осторожно чередуя его со средствами, расширяющими сосуды и калия с йодидом, ультразвуком, диатермией и согревающими компрессами на ночь. Озокеритные аппликации и теплые ванны тоже будут давать хороший эффект в борьбе с болезнью. После того как боли отступят, можно возобновлять нагрузку на пролеченную конечность, но только в удобной обуви, имеющей широкий и устойчивый каблук. Нельзя ходить в обувь на сплошной подошве, это увеличивает нагрузку на травмированную конечность, затягивая процесс выздоровления. Чтобы снизить нагрузку на пятку, используйте также специальную стельку с прокладкой поперечного и продольного (наружного и внутреннего) сводов. Такие стельки вы найдете в аптеках вашего города и в магазинах, специализирующихся на продаже ортопедической обуви.
Если вам (или вашему ребенку) поставили такой диагноз, как болезнь Шинца, не волнуйтесь, это обязательно закончится вашим полным выздоровлением! Да, заболевание это довольно длительное и протекает от полутора до двух лет, но не стоит отчаиваться. Лечение всегда направлено на минимизацию боли и быстрое восстановление всех потерянных лишь на некоторое время функций. Не бросайте активные занятия спортом по причине возникновения временных трудностей! Ведь жизнь – это движение!
fb.ru
Болезнь Шинца у детей - лечение, фото, признаки
Болезнь Шинца, которую иногда в анамнезе указывают как остеохондропатию пяточного костного сочленения, является малоизвестным недугом. Заболевание не слишком распространено у взрослых, но у детей в возрасте от семи до пятнадцати лет оно встречается достаточно часто. У взрослых оно может возникать на фоне активного образа жизни или серьезных спортивных нагрузок.
Чаще всего к нему приводят травмы сухожильного аппарата, которые могут стать одной из причин развития недуга. Остеохондропатию пяточного костного сочленения ортопеды называют асептическим некрозом бугра пяточного костного сочленения. Этот недуг назвали в честь ученого, выделившего недуг из списка прочих и описавшего его в 1907 году.
Причины
Причины развития остеохондропатии бугристости пяточной кости пока так и не удалось выявить до конца. Ученные и медики могут лишь строить предположения по поводу того, что может привести к возникновению болезни Шинца.

Болезнь Шинца
Многие считают, что болезнь Шинца у детей развивается в результате того, что растущий организм не получает полезных веществ, а точнее, костная ткань обладает слабой структурой по причине нехватки кальция и прочих нужных микроэлементов. У взрослых недуг чаще всего вызывают сильные нагрузки на пяточную кость либо же незначительные повреждения, которые не были вылечены вовремя и в результате дали такие осложнения.
Также к появлению заболевания могут предрасполагать следующие факторы, представленные:
- Высокими нагрузками на связочный и мышечный аппараты.
- Занятиями спортом с большими нагрузками на сухожильный аппарат ступни.
- Эндокринологическими недугами и гормональными сбоями.
- Сосудистыми болезнями и проблемами с кровотоком в нижних конечностях.
- Нарушенной усвояемостью кальция.
- Расстройствами нервно-трофического типа.
- Травматизмом пяточного костного сочленения, приведшим к нарушению кровотока.
- Врожденной предрасположенностью.
Дети также могут страдать остеохондропатией в случае неправильно подобранной обуви, мешающей нормальному кровообращению в ступнях, в результате чего пяточное костное сочленение не получает питательные вещества и деформируется.
Как уже говорилось ранее, заболеванию Шинца в большинстве случаев подвержены именно дети, так как во время взросления происходит формирование скелетной структуры.
Чаще всего недуг диагностируют у девочек возраста семи лет, у мальчиков он может проявиться в девять–одиннадцать лет. Патология может поразить как одну, так и две нижних конечности. Но все же, остеохондропатия, поражающая пяточное костное сочленение на одной ноге, встречается гораздо чаще.
Стадии
Ортопеды выделяют 5 стадий данного недуга, рассмотрим их подробнее..
- Некроз асептического типа, которому характерно нарушение кровотока в тканях, окружающих пятку. Такая проблема приводит к тому, что участок вокруг кости немеет, а ткани начинают отмирать.
- Импрессионный перелом. Эта стадия характеризуется отмиранием тканей, которые перестают выполнять свою функцию и выдерживать оказываемые на них нагрузки. В этом случае происходит передавливание околопяточного участка и вклинивание одного костного участка в другой.
- Фрагментация. Если не принять никаких мер на предыдущей стадии, то с течением времени в продавленном участке произойдет разделение костного сочленения на несколько обломков.
- Рассасывание поврежденной ткани.
- Регенерация. Для этой стадии характерно образование новой ткани соединительного типа, на месте некротических участков. Постепенно соединительную ткань замещает новый костный участок.
Симптоматика
На начальном этапе развития недуга ребенок чувствует неприятные ощущения в пяточной области. Боль появляется при нагрузке на пяточное костное сочленение при беге, прыжках или ходьбе.
Также наблюдается следующая симптоматика, представленная:
- Болью в пяточной области, появляющейся после нагрузок.
- Опуханием пятки.
- Появлением резкой боли при ощупывании опухлостей.
- Затрудненными сгибательными и разгибательными движениями стопы.
- Гиперемией пяточного участка.
- Горячими кожными покровами в месте поражения.
- Хромотой при двигательной активности.
- Стиханием болевых ощущений в нижней конечности при полном покое.
- Распространением дискомфорта на ахиллово сухожилие, которое прикрепляется к пяточному костному сочленению.
- Невозможностью опираться на больную нижнюю конечность. Ходьба при опоре на трость для уменьшения нагрузки на пораженную область.
- Ходьбой с опорой на передний отдел ступни для снижения дискомфорта.
- Атрофия мышечного аппарата голеностопа и гиперестезия кожного покрова пятки.
У всех пациентов симптоматика может быть разной и иметь различную интенсивность. Некоторые дети отмечают незначительные болевые ощущения в пяточной области, а остальные, наоборот, жалуются на сильную боль, которая не дает нормально передвигаться, и ухудшают качество жизни ребенка.
Недуг может иметь как медленное, так и стремительное развитие. По этой причине появление дискомфортных ощущений в пяточной области требует немедленного обращения к специалисту для обследования, постановки диагноза и назначения адекватной терапевтической методики.
Диагностика
Определить развитие недуга может врач ортопед. Для того чтобы точно поставить диагноз специалист опрашивает маленько пациента, собирает анамнез, создает клиническую картину, проводит необходимые анализы для исключения других недугов, а также проводит рентген. Зачастую проводится рентгенологическое исследование ступни в боковой проекции.
На первой стадии заболевания специалист обнаруживает уплотненный бугор и увеличение расстояния между ним и пяточным костным сочленением. Также на ранней стадии появляется пятнистость, разрыхляются определенные костные участки и появляются признаки нарастания нового бугристого участка.
Если у ортопеда есть сомнения по поводу постановки диагноза, ребенка направляют на КТ и МРТ пяточного костного сочленения.
Очень важно безошибочно диагностировать недуг и исключить наличие остеомиелита, периостита, бурсита, костного туберкулеза, острого воспалительного процесса и злокачественных новообразований.
Лечение
Терапевтическую методику для борьбы с этим недугом подбирают индивидуально, в зависимости от состояния пациента и стадии недуга.
При обострении заболевания нижним конечностям нужно обеспечить полный покой, а пораженные пятки зафиксировать гипсовыми лентами или наложить эластичную повязку. Для борьбы с недугом применяют консервативную методику лечения, используя медикаменты, физиопроцедуры и народную медицину.
Медикаментозное
Чтобы убрать болевые ощущения пациентам назначают нестероидные противовоспалительные препараты. Малышам до семи лет назначают Парацетамол и Ибупрофен, а детям старшего возраста могут назначать более сильные медикаменты, представленные Диклофенаком, Напроксеном, Кетопрофеном и Нимесулидом. Данные средства назначаются ортопедом исходя из возрастной группы пациента и наличия у него сопутствующих недугов.
Для того чтобы улучшить кровоток в нижних конечностях и не допустить некротических изменений в тканях, больных лечат Пентоксифилином, Эуфиллином, Дибазолом и Троксевазином. Также назначаются витаминные и микроэлементные добавки, направленные на укрепление костной ткани.
Для местного применения назначают мази с обезболивающим эффектом, представленные Диклаком, Дип Релифом, Долобене гелем, Фастум гелем и прочими. Перед их применением необходимо изучить инструкцию, чтобы узнать, не навредят ли препараты детскому организму.
Также можно использовать компрессы на основе Демиксида. Для этого необходимо развести вещество с водой в пропорции 1:1, намочить в растворе марлю и приложить аппликацию к пораженной пятке. Затем замотать полиэтиленовой пленкой и обернуть теплой тканью. Компресс необходимо выдержать в течение часа.
Физиотерапевтическое
Физиотерапию считают важной составляющей при лечении данного недуга. Ребенку может быть назначено УЗИ с гидрокортизоновыми аппликациями, электрофорез на основе новокаина, пирогенала или бруфена, также назначают диаметрию.

Физиотерапия
Хорошую эффективность имеют аппликации из озокерита и парафина, способствующие усилению периферического кровотока и снижению мышечного тонуса. Часто их применяют, перед тем как проводить массаж или других терапевтических процедур.
Массаж
Массаж является обязательной процедурой при данном заболевании. Его назначают не только на область нижних конечностей, но и на участки всего тела, при этом особое внимание специалист уделяет именно ступням.
Гимнастика
Гимнастические упражнения с лечебным эффектом назначают с целью улучшения кровотока в поврежденной стопе и нормализации питания окружающих пятку тканей. Также они уменьшают боль и укрепляют связочный и мышечный аппарат. Однако это абсолютно не влияет на двигательную активность.
Как массируют (видео)
Народные рецепты
Основным рецептом народной медицины, который действительно хорошо помогает при данном недуге, является теплая солевая ванна. Для того чтобы ее приготовить понадобится 400 грамм морской соли и таз горячей воды.
Далее, соль смешивается с водой и в полученный раствор опускаются ноги. Проводится такая процедура около пятнадцати минут, после чего ступни ополаскиваются чистой водой и вытираются насухо.
Прогноз
Остеохондропатия пяточной кости имеет благоприятные прогнозы. Зачастую недуг длится два года и при правильно подобранном лечении полностью исчезает. В некоторых случаях болезнь проходит только после того, как завершится рост ступни.
При своевременном обращении к врачу, и получении правильного лечения, недуг исчезает бесследно, структура пяточного костного сочленения полностью восстанавливается. Но если терапия не будет начата вовремя, то пяточный бугор останется деформированным, и в будущем уже не будет поддаваться лечению.
Возможно, такая проблема не ухудшит качество жизни больного, но сделает подбор подходящей обуви достаточно проблемным. Поэтому если вы начнете подозревать у своего ребенка пяточную остеохондропатию, немедленно обращайтесь к ортопеду. Таким образом, вы не только быстро избавитесь от недуга, но и избежите осложнений.
nogi.guru
Болезнь шинца у детейЛечение ребенка - детские болезни, консультации, опыт. | Лечение ребенка
Заболевание сопровождается сильными болями в пяточной области, что вызвано недостаточным кровоснабжением стопы в районе губчатой кости. Иногда активное развитие недуга может привести к разрушению кости.
Симптомы заболевания шинца у детей
Зачастую болезнь возникает у подростков, хотя иногда бывают случаи проявлении клинической картины у детей начальной школы. Вначале недуг сопровождается незначительными режущими болями в пяточной зоне, которые чаще возникают после физических нагрузок (бег, быстрая ходьба, прыжки). Наряду с болью на пяточном бугре проявляется небольшая воспалительная припухлость, однако любые жжения или давления на ней локально отсутствуют при диагностировании пальпацией.
В ночное время, как правило, характерные боли отсутствуют и проявляются только лишь при вертикальном положении больного, когда вес тела распределяется на пятку.
Тяжесть данного заболевания разнится, поэтому может проявляться дифференцировано. Некоторые дети страдают от незначительных болей, которые остаются практически незамеченными. Однако зачастую у детей острые боли в пяточном отделе настолько нестерпимы, что при ходьбе им приходится упираться на носок, дабы обеспечить себе безболезненное передвижение. В таких случаях пальпация пяточного бугра у детей сопровождается болезненными ощущениями. При визуальном же осмотре можно заметить некоторые атрофированные участки кожи и мышц голени. Как правило, процесс осмотра сопровождается болезненными ощущениями при всяких попытках сгибания и разгибания стопы.
Причины развития недуга
Болезнь шинца у детей возникает по определенным причинам. В первую очередь, предвестником может быть постоянная нагрузка на мышечную систему. Нередко недуг проявляется по причине генетической предрасположенности, нарушения эндокринной системы, недостаточной развитости кровеносных сосудов, нервно-трофических расстройств и микротравм, имеющих место в пяточной области. Также не стоит забывать о том, что заболевание вполне может проявиться, если в организме плохо усваивается кальций.
Не стоит пренебрегать жалобами ребенка! Если его беспокоит боль в пятке, он явно прихрамывает при ходьбе и старается перенести массу своего тела на носок стопы, обязательно обратитесь за консультацией к детскому ортопеду!

Диагностика и лечение заболевания
При проявлении первых симптомов заболевания необходимо незамедлительно обратиться в медицинское учреждение. При отсутствии должной терапии болезнь шинца может привести к плачевным последствиям.
Выявляется болезнь при помощи рентгеновской диагностики. При составлении клинической картины врач руководствуется и списком жалоб ребенка. Весьма полезно знать, когда начались боли, при каких условиях они нарастают – это действительно важные данные, поскольку зачастую заболевание можно спутать с бурситом, периоститом и туберкулезом пяточной кости.
Терапия подбирается в зависимости от степени сложности заболевания. В большинстве случаев при болезни шинца лечение консервативное и базируется на применении тутора с использованием разгрузочных ремней. При этом стопа фиксируется в положении подошвенного сгибания. Кроме того, врачом даются рекомендации по выбору обуви — для смягчения нагрузки на пяточную область рекомендуется применять не только комфортную обувь, а и ортопедические стельки.
Обязательной составляющей правильного лечения выступает запрет на перенос веса тела на больную стопу.
Больным с диагнозом шинца назначаются физиотерапевтические процедуры (электрофорез, диатермия, или же ультразвук с гидрокортизоном). При этом следует применять лекарственные средства, уменьшающие боли (Новокоин, Анальгин, Бруфен).

Возможен ли домашний уход?
В домашних условиях пациента с диагнозом шинца лечить не рекомендуется. Можно лишь несколько уменьшить болевое проявление. Для этого достаточно сделать компресс с димексидом, смешав его с водой в пропорции 1:1. Использовать компресс стоит не менее 30 минут, но и не более часа. После пораженную пятку можно смазать противовоспалительной мазью (Троксевазин, Фастум, Диклак).
Хороший эффект также имеют озокеритные и парафиновые аппликации на пораженном пяточном участке больного.
Из народных методов хорошо распространены теплые ванночки с использованием морской соли.
В некоторых случаях заболевание дает осложнения, в результате чего требуется оперативное хирургическое вмешательство. При этом полностью отсекается нервный поперечный ствол и ребенок больше не чувствует боли при ходьбе. К сожалению, операция, которая видится избавлением от страданий, накладывает некоторые обязательства. Так, необходимо на протяжении всей жизни соблюдать рекомендации врача-ортопеда во избежание более плачевных последствий!
lechenierebenka.ru
Болезнь Шинца у детей: причины, симптомы, методы лечения
Болезнь Шинца или деформация Хаглунда-Шинца была изучена шведским хирургом еще в 1927 году. Она также известна как остеохондроз апофиза пяточной кости, остеохондропатия, деформация Малхолланда. От чего возникает болезнь Шинца до настоящего времени так до конца и не выявлено. Обычно, это заболевание проявляется после долгих занятий физической активностью или вследствие ранее перенесенной травмы.
Что такое болезнь Шинца
Это заболевание, в большинстве случаев, встречается у тех, кто активно занимается спортом, в том числе и профессиональным. Подвергаются болезни как взрослые, так дети.
Деформация Хаглунда-Шинца — костный нарост на задней части пятки, когда в бугре пяточной кости нарушается процесс окостенения. Болезнь Шинца обычно развивается у тех, кто в повседневной жизни предпочитают жесткую и тесную обувь с закрытыми пятками. Риск развития деформации Хаглунда также зависит от формы пяточной кости.

Это заболевание — аномалия костей и мягких тканей стопы. Вызывает такое состояние увеличение костной части пятки, в той части, где расположено ахиллово сухожилие. Мягкие ткани около задней части пятки могут раздражаться, когда большой костлявый кусок трется о жесткие и тесные ботинки. Это часто приводит к бурситу, то есть воспалению наполненного жидкостью мешочка между сухожилием и костью. Когда пятка воспаляется, в ней может накапливаться кальций, что и увеличивает боль. Для облегчения подобного состояния доступны как хирургический, так и нехирургический методы лечения.
к оглавлению ^Причины
Болезнь Шинца может развиваться по следующим причинам:
- Активное занятие спортом,в том числе профессиональным (футбол, бег и тому подобное) и постоянная нагрузка на мышцы ног.
- Ношения жесткой обуви с закрытыми пятками.
- Неправильный подбор обуви на высоком каблуке. Женщины в возрасте 15-35 лет, которые предпочитают носить туфли на каблуке выше 5 см, имеют высокую частоту поражения деформацией Хаглунда. Считается, что давление на ахиллово сухожилие и ретрокальканеальную бурсу усугубляется высотой пятки.
- Постоянное давление Оно может привести к возникновению болезненного раздражения в бурсе и в других тканях в задней части стопы, таких как ахиллово сухожилие.
- Наследственные факторы развития ног могут способствовать его развитию, хотя болезнь Шинца не является наследственным заболеванием.
- Высокие арки. Ахиллово сухожилие или пяточное сухожилие является самым мощным сухожилием в теле, оно соединяет мышцы голени с пяточной костью. Высокая арка свода стопы возникает тогда, когда пяточная кость выходит из положения и наклоняется назад к ахиллову сухожилию. Результатом высокой арки является то, что пяточная кость фактически трется о сухожилия, вызывая раздражение. Со временем пяточная кость начинает деформироваться и тереться о бурсу. Бурса представляет собой наполненный жидкостью мешочек, целью которого является устранение трения между сухожилием и пяточной костью. Когда бурса раздражается, она воспаляется и может вызвать значительную боль.
- Плотное ахиллово сухожилие. Бурса находится между ахилловым сухожилием и пяточной костью. Если ахиллово сухожилие очень жесткое и негибкое, оно может давить на бурсу. Постоянное давление также может привести к воспалению и боли от бурсы.
- Пронация стопы. Хождение по внешней стороне стопы вызывает внутреннее вращение пятки. В этом случае бурса может образовываться под сухожилием, для того чтобы уменьшить трение, вызванное аномальным поворотом ноги. Бурса находится под таким давлением, что она воспаляется и причиняет боль.
Что способствует развитию болезни:
- микротравмы, которые образуются в области пятки, причиной этого становится плохое кровоснабжение;
- заболевания сосудов;
- нервно-трофические расстройства;
- нарушенный процесс усвоения организмом Ca;
- болезни эндокринной системы, связанные с дисбалансом гормонального фона;
- частые нагрузки на ноги;
- генетическая предрасположенность.
Данные факторы развития болезни характерны как для взрослых, так и для детей.
Симптомы
Проявление деформации Хаглунда возможно в одной или обеих стопах. Симптомы могут быть следующего характера:
- образование костного нароста на задней части пятки;
- сильная боль в области пятки;
- набухание в бурсе;
- боль через некоторое время начала любой активности, которая стихает по мере увеличения активности;
- боль или отек в пятке;
- покраснение пятки;
- затухание или полное отсутствие боли во время сна, либо когда нога находится в состоянии покоя;
- трудно сгибать и разгибать стопу;
- человек начинает заметно хромать.
Болезнь может проявиться как со временем, так и развиться стремительно. В острой стадии болезнь характеризуется резкой болью, которая постепенно увеличивается в области пяточного бугра, особенно это чувствуется после нагрузки. Например, если человек долго бегал или ему пришлось много ходить.
Чуть выше пяточного бугра возникает отек, отмечается ноющая боль, при этом сгибать стопу или ее растягивать — некомфортно. Пациент двигается вяло, при этом ходит как бы “на носочках”.
к оглавлению ^Стадии
Существует несколько стадий болезни Шинца:
- Асептический некроз. Нарушается питание участка кости, что приводит к очагу омертвения.
- Вдавленный (импрессионный) перелом. Пораженный участок не выдерживает обычной нагрузки, происходит давление одного участка кости на другой.
- Фрагментация. Происходит разделение пораженного участка на отдельные обломки.
- Некротизированные ткани рассасываются.
- Репарация. Место некроза в дальнейшем окостеневает.
Диагностика
Она проводится только специалистом — врачом -ортопедом. Он учитывает клиническую картину, анамнез и результат проведения одного или нескольких исследований изображений стопы.
Рентгенография, ультразвуковая или магнитно-резонансная томография (МРТ) используются ортопедо для того, чтобы исключить другие причины болей в ногах. Лучше всего если будет назначен снимок, сделанный в боковой проекции.

Рентгенологические признаки включают:
- уплотнение апофиза;
- щель между апофизом и пяточной костью расширена;
- уплотненное пятно окостенения имеет пятнистую структуру.
Лечение
Не следует пугаться, если вашему ребенку был поставлен диагноз болезни Шинца, ведь в случае верного лечения выздоровление не заставит себя ждать.
Лечение деформации Хаглунда можно разделить на два вида: нехирургическое и хирургическое. В большем процентном соотношении лечение обычно начинается с более щадящих мер. Хирургия применяется лишь тогда, когда все другие меры не могут решить проблему, боль нарастает, затрудняя процесс ходьбы.
к оглавлению ^Консервативное
Сначала пациенту ограничивают физическую активность. Если боль заметно увеличивается, то в этом случае больную конечность фиксируют при помощи ленты, сделанной из гипса, на небольшие промежутки времени. При сильном болевом синдроме врач назначает использование анальгетиков и физиотерапии, например, мази. Помогает при лечении и принятие теплых ванночек.
Для того, чтобы уменьшить нагрузку на пятку и всю стопу в целом, врачи рекомендуют носить ортопедические стельки и подпяточники с гелем.
Нехирургические варианты включают:
- Ношение обуви исключительно без пятки, например, сабо, либо босоножки.
- Прием нестероидных противовоспалительных препаратов (НПВП), таких как Ибупрофен или Аспирин.
- Ношение ортопедии.
- Ношение гелевых или силиконовых подпяточников, стелек, чтобы уменьшить давление обычной обуви.
- Ношение иммобилизирующих повязок или литых ботинок.
- Холодную компрессионную терапию;
- При появлении боли назначаются также витамины группы В.
Физиотерапия
Для устранения болезни врач может назначить прохождение таких физиопроцедур, как:
к оглавлению ^Лечебная физкультура
Подобная терапия может применяться только после того, как острая боль уже прошла. Необходимо помнить, что для каждого пациента комплекс упражнений подбирается индивидуально и исключительно врачом. Лечебная физкультура помогает снизить боль, способствует укреплению и растяжению мышц, а также существенно улучшает отток крови в венах.
Например, упражнения для ахиллова сухожилия — это лучшая форма упражнений для лечения болезни Шинца. Они могут быть выполнены в случаях, когда ахиллово сухожилие слишком плотно. Растяжка икроножной мышцы могут его ослабить. Если выполнять упражнения регулярно, можно препятствовать развитию синдрома Хаглунда.
к оглавлению ^Упражнения
- Сядьте и положите больную ногу на колено второй конечности. Вращайте стопой пораженной ноги в умеренном темпе в течение нескольких секунд. Темп можно увеличить, считая до 16-30 вращений.
- Встаньте на твердую гладкую поверхность и поднимите пальцы ног вверх. Делать это нужно не спеша, затем раздвиньте пальцы так, чтоб от пяток до подъема арки стопа оставалась на полу. Задержитесь в таком положении на 10 секунд, затем расслабьтесь и повторите упражнение несколько раз.
- Сядьте на стул так, чтоб колени были в прямом состоянии и соедините стопы. После повторите упражнение снова.
- Сядьте на стул и попеременно приподнимайте, а затем опускайте пальцы ног, так чтоб пятка была неподвижной.
- Ложитесь на пол боком, чтобы больная пятка была ближе к полу. Если поражена правая стопа, то ложитесь на правый бок, если левая — на левый. Руку в локте согните, положите под голову. Вытяните ногу, которая находится сверху в сторону. Немного приподнимите стопу пораженной конечности и делайте круговые движения по часовой стрелке, не отрывая ее от пола. Делать такое упражнение нужно около 1 минуты.
Массаж
Для лечения болезни Шинца применяется и лечебный массаж, при котором обязательно растирается пяточная зона. По степени интенсивности массаж должен быть средним. Массаж нужно проводить каждый день, на протяжении полумесяца. После перерыва в полтора месяца курс возобновляют.
Для лечения деформации Хаглунда приписывают специальные препараты, которые помогают восстановить кровообращение, например, Берлитион, Дибазол, Эуфиллин, Пентоксифиллин.
к оглавлению ^Народные средства
Прибегать к народным средствам можно только после того, как острый болевой синдром прошел. Необходимо помнить, что народных методов лечения болезни Шинца не выявлено, с их помощью можно только уменьшить болевые ощущения. Зачастую в домашних условиях применяют следующие вещества:
- Йод. Это отличное средство, которым можно мазать пораженный участок или использовать его в качестве компрессов. Он поможет устранить боль, а также снять воспаление.
- Мыло и йодная сеточка. Натереть мыло на терке и нанести на шишку, через некоторое время смыть и нарисовать йодную решетку.
- Картофель. Очистки картофеля нужно сварить и в этом отваре парить ноги. Когда отвар остынет — налейте горячую воду. Это очень простой способ, который можно делать ежедневно.
- Прополис. Он известен своими противовоспалительными и антибактериальными свойствами. Небольшой шарик нужно размять и нанести на пятки, делать это каждый день.
- Ванночки с эфирными маслами и лекарственными травами.
- Ванночки с морской солью.
Мази, снимающее воспаления, такие как Фастум-гель, Диклак гель, Троксевазин, Ибупрофеновая мазь, Дип-рилиф, Долобене используют при сильной пяточной боли.
к оглавлению ^Компрессы
Избавиться от боли пациенту помогут согревающие компрессы. Обычно применяют компресс с димексидом, который продается в аптеке. Он смешивается с водой в соотношении 1:1. Полученный раствор наносят с помощью смоченной марлевой салфетки, которую накладывают на период от 30 минут до 1 часа. Поверх марлевой салфетки наносят полиэтиленовую пленку и укутывают теплой шерстяной тканью. Когда согревающий компресс снят, на пятку можно нанести противовоспалительную мазь.
к оглавлению ^Аппликации
Также помогают озокеритовые и парафиновые аппликации. Такие процедуры можно сделать как в больнице, так и дома. Данное лечебное вещество имеет горное происхождение. Он является воскообразным продуктом, в состав которого входят органические смолы, углеводород, озокеритовая палочка и асфальтены, которые действуют наподобие антибиотиков.
Суть таких аппликаций в том, что во время их нагревания и нанесения на пораженный участок, тепловое воздействие способствует усилению периферического кровотока и снижению тонуса мышц.
Для проведения аппликации в домашних условиях выполняют следующие действия.
- Озокерит и парафин помещают в кастрюлю, в равных пропорциях, и ставят на водяную баню (около 1 часа).
- Полученную смесь выливают в плоскую форму, которая создаст аппликацию толщиной 1,5 сантиметра. Если на парафине остается ямка от нажатия, то он готов к применению.
- Для выполнения аппликации поверх одеяла стелется пеленка, а затем клеенка, на которую укладывается пласт парафина. На него ставится пораженная пятка, которую нужно завернуть в обратной последовательности.
- Аппликацию держать от 15 до 30 минут.
Хирургическое вмешательство
Оно применяется для лечения деформации Хаглунда в том случае, если менее инвазивные методы не работают. Во время операции врач удаляет лишнюю кость с пятки. Она также может быть сглажена и отшлифована. Это уменьшает давление на бурсу и мягкие ткани.
к оглавлению ^Удаление наростов
Многие хирурги просто удаляют нарост. Эта процедура выполняется через небольшой разрез на задней части пятки. Ахиллово сухожилие отодвигается, так чтобы хирург мог видеть заднюю часть пяточной кости. Затем удаляется некоторая часть кости, а пяточная форма формируется и закругляется, так что давления не происходит. Надрез закрывается стежками, и нога помещается в громоздкую повязку, чтобы защитить ее до момента заживления. Она также может быть помещена в шину от колена до пальцев ног.
к оглавлению ^Клиновидная остеотомия
Эта процедура выполняется так же, как удаление наростов. Во время операции может быть предоставлена общая анестезия. Это обычно делается, если ахилловое сухожилие повреждено, и врачу необходимо его исправить.
После операции понадобится до 8 недель для полного выздоровления. Скорее всего, придется носить специальный ботинок, чтобы защитить ногу, и использовать костыли.
к оглавлению ^Последствия
Крайне важно, чтобы человек, страдающий болезнью Шинца, прекратил деятельность, которая привела к развитию этого синдрома, в течение, по меньшей мере, 1 месяца. Период отдыха оценивается в зависимости от тяжести травмы. Для рангов I и II типов травм, вызванных болезнью Шинца, период отдыха и выздоровление составляет около недели, а для более серьезных травм период восстановления увеличивается примерно до месяца. Во время этого периода крайне важно прекратить любую спортивную деятельность.
Помните о том, что после уменьшения болей нагрузку можно восстановить, но при этом нося обувь только с широким и устойчивым каблуком. А вот от обуви на плоской подошве придется отказаться, так как она увеличивает нагрузку на пятку.
При правильном и своевременном лечении заболевания происходит полное восстановление пяточной кости и ее структуры.
к оглавлению ^Профилактика
Предотвращение деформации Хаглунда или предотвращение рецидивов после лечения означает принятие мер для лечения любых других существующих повреждений стопы и избежание раздражения ахиллова сухожилия и бурсы. Обувь на низком каблуке с гибкой спинкой, которая поддерживает арку стопы, может помочь предотвратить бурсит от повторения.
Снизить риск развития болезни Шинца, можно, следуя следующим рекомендациям:
- избегать ношения обуви с плотными, жесткими каблуками, особенно в течение длительных периодов времени;
- избегать бега на жестких поверхностях или в гору;
- носить открытые ботинки;
- носить мягкие носки с нескользящей подошвой;
- выполнять упражнения на растяжку, чтобы предотвратить ужесточение ахиллова сухожилия.
- избегать повторяющихся движений в ноге и лодыжке, особенно на твердой поверхности.
- избегать спортивной обуви, сжимающей ретрокальканеальную бурсу и ахиллово сухожилие во время занятий спортом (у бегунов, от ботинок для гольфа или хоккейных коньков).
- избегать ношения высоких каблуков, так как подобная обувь оказывает давление на ретрокальканеальную бурсу и ахиллово сухожилие, вызывая болезнь Шинца.
Важно лечить синдром Хаглунда на ранних стадиях, чтобы свести к минимуму ущерб и поддерживать движение и силу в ноге. Нужно давать отдых лодыжке, используя надлежащую амортизацию, надевая удобную обувь и уменьшая любые действия, которые усиливают давление на бурсу и ахиллово сухожилие.
Как показывает практика, лечение болезни Шинца на ранних стадиях предотвращает его “превращение” в хроническое заболевание. При правильном лечении боль должна исчезнуть. Обычно речь идет о сроке в 1,5-2 года. Боль может сохраняться и более долгое время, но при правильном лечении и соблюдении всех рекомендаций, исходом болезни Шинца будет полное выздоровление.
Если Вам понравилась наша статья и Вам есть что добавить, поделитесь своими мыслями. Нам очень важно знать Ваше мнение!
woman-l.ru












