Новости и статьи в рубрике «Пародонтология». Журнал пародонтология
Пародонтология - Новости и статьи по стоматологии
Пародонтология
Выберите рубрикуне важноДетская стоматологияЗуботехническаяИмплантологияМаркетинг и менеджментНовости проектаОртодонтияОртопедияПародонтологияСтоматологияТерапияХирургияЮмор, релакс
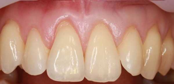
Исходная ситуация.
Исходная ситуация.

7 марта 2018 07.03.2018
Пациентка направлена коллегой (ортодонт) на удаление ретенционной кисты верхнечелюстного синуса, удаление 18-го зуба и установку имплантата 17. Пациентка находилась и по сей день находится на ортодонтическом лечении элайнерами.
Пациентка направлена коллегой (ортодонт) на удаление ретенционной кисты верхнечелюстного синуса, удаление 18-го зуба и установку имплантата 17. Пациентка находилась и по сей день находится на ортодонтическом лечении элайнерами.

12 февраля 2018 12.02.2018
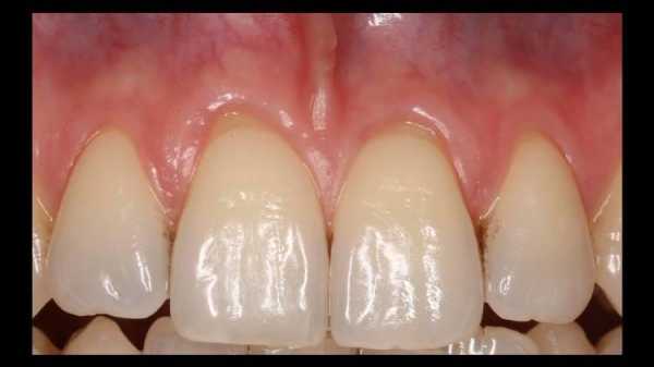
Исходная ситуация.
Исходная ситуация.

19 января 2018 19.01.2018
Д-р Али Тамайол, преподаватель факультета Механики и Инженерии материалов в университете Небраска-Линкольн, совместно с коллегами, разрабатывают мембрану для лечения тяжелых форм пародонтита. В работе анализируют и оценивают данные, собранные в университете Калифорнии.
Д-р Али Тамайол, преподаватель факультета Механики и Инженерии материалов в университете Небраска-Линкольн, совместно с коллегами, разрабатывают мембрану для лечения тяжелых форм пародонтита. В работе анализируют и оценивают данные, собранные в университете Калифорнии.

6 декабря 2017 06.12.2017
Лечение у стоматолога может способствовать снижению артериального давления у пациентов, находящихся в группе риска развития заболеваний сердца. У больных прегипертензией, прошедших процедуру по удалению зубного камня и полировке поверхности корней, показатель АД снижается более чем на 10 мм рт. ст.
Лечение у стоматолога может способствовать снижению артериального давления у пациентов, находящихся в группе риска развития заболеваний сердца. У больных прегипертензией, прошедших процедуру по удалению зубного камня и полировке поверхности корней, показатель АД снижается более чем на 10 мм рт. ст.

20 ноября 2017 20.11.2017
Комбинация тоннельной техники и коронального смещения комбинированного лоскута по модификации Зуккели с применением де-эпителизированного трансплантата.
Комбинация тоннельной техники и коронального смещения комбинированного лоскута по модификации Зуккели с применением де-эпителизированного трансплантата.

6 октября 2017 06.10.2017
Показанием для данной методики является отсутствие преддверия полости рта и достаточного количества кератинизированной десны. Суть метода заключается в сохранении объема мягких тканей и при этом создать возможность для роста кератинизированных тканей путем отграничивания подвижной слизистой полоской свободного десневого трансплантата подшитой апикально.
Показанием для данной методики является отсутствие преддверия полости рта и достаточного количества кератинизированной десны. Суть метода заключается в сохранении объема мягких тканей и при этом создать возможность для роста кератинизированных тканей путем отграничивания подвижной слизистой полоской свободного десневого трансплантата подшитой апикально.

21 сентября 2017 21.09.2017
Исходная ситуация.
Исходная ситуация.

22 августа 2017 22.08.2017
Один пациент. Применены разные хирургические техники.
Один пациент. Применены разные хирургические техники.

20 июля 2017 20.07.2017
Пародонтальная пластическая хирургия играет весьма важную роль в общей пародонтологической практике. В США как минимум 90% населения в возрасте старше 60 лет характеризуется наличием, по крайней мере, 1-го зуба с 1-милиметровым уровнем рецессии, а у 40% этой же возрастной группы наблюдаются рецессии, превышающие 3 мм. Области рецессии, не подлежащие лечению, значительно ухудшают пародонтологический статус пациента, что, в свою очередь, может привести к ряду смежных стоматологических осложнений.
Пародонтальная пластическая хирургия играет весьма важную роль в общей пародонтологической практике. В США как минимум 90% населения в возрасте старше 60 лет характеризуется наличием, по крайней мере, 1-го зуба с 1-милиметровым уровнем рецессии, а у 40% этой же возрастной группы наблюдаются рецессии, превышающие 3 мм. Области рецессии, не подлежащие лечению, значительно ухудшают пародонтологический статус пациента, что, в свою очередь, может привести к ряду смежных стоматологических осложнений.

17 июля 2017 17.07.2017
2373233923042240220321122079201319441936
stomatologclub.ru
Издательство "Поли Медиа Пресс"
В ходе работы Азиатско-Тихоокеанской секции Конгресса EuroPerio8 в Лондоне профессор MarkBarthold из Университета Аделаиды (Австралия) представил доклад по пародонтологии. В настоящей статье, написанной им специально для DentalTribuneOnline, он рассматривает некоторые из многочисленных достижений современной пародонтологии.
За последние 20 лет пародонтология претерпела весьма существенные изменения. Многие научные открытия заставили стоматологов пересмотреть свое представление о пародонте и подход к лечению его заболеваний. В 1999 году Американская академия пародонтологии даже разработала новую систему классификации заболеваний пародонта, в которую было включено около 50 различных типов этой болезни, достаточно отличающихся друг от друга для того, чтобы представлять собой отдельные классы. В действительности это была чрезвычайно громоздкая система, созданная на основе очень простого разделения заболеваний пародонта на три типа: гингивит, хронический пародонтит и агрессивный пародонтит.
Хотя о корректности терминов «хронический» и «агрессивный» до сих пор спорят, они до времени прекрасно выполняли свое основное назначение, позволяя практикующим стоматологам и исследователям четко разделять виды заболевания, обладающие вполне определенными клиническими параметрами. Также эта терминология давала возможность оценки методов и результатов лечения. Тем не менее, со временем стало понятно, что подобная незамысловатая система классификации пародонтита (с подразделением его на хронический и агрессивный) может быть слишком простой для такого неоднородного заболевания. Вполне возможно, настало время пересмотреть эту классификацию и понять, можно ли использовать имеющиеся у нас сведения об эпидемиологии и патологии заболеваний пародонта для более их более четкого описания.
Тем не менее, стоит отметить, что за последние 25 лет было предложено как минимум десять разных классификаций, ни одна из которых так и не получила всеобщего признания. Понятно, что в этой области предстоит проделать огромную работу. Например, поскольку хронический и агрессивный парододонтит на самом деле представляют собой группы весьма разнородных заболеваний, в классификации обязательно возникнут уникальные подклассы, появление которых неизбежно ввиду многофакторного характера заболеваний пародонта и их разнообразия, обусловленного многочисленностью микробных, иммунных и средовых компонентов. Так, сегодня, помимо классификации, основанной на характере зубных отложений, существует и классификация Американской академии пародонтологии, не связанная с причинными критериями.
Бактерии – необходимое, но недостаточное условие возникновения пародонтита В 90-е годы наше представление о бактериальном зубном налете и его взаимодействии с поддесневыми структурами существенно расширилось. Понимание того факта, что поддесневой налет существует в форме биопленки со своей собственной системой микрорегуляции и способами коммуникации между бактериями, изменило наше представление о том, как поддесневаямикробиота взаимодействует не только внутри своего сообщества, но и с организмом человека. Исследования 90-х и начала 2000-х годов были посвящены роли биопленки и ее компонентов в процессе развития пародонтита. При совершенной очевидности того обстоятельства, что заболевание пародонта не может возникнуть в отсутствие бактерий, постепенно становился все более очевидным и факт существования пациентов, у которых, несмотря на наличие обильных зубных отложений, пародонтит не развивается. Не менее бесспорным было и наличие людей, которые при весьма незначительных объемах зубного налета страдают прогрессирующим и деструктивным заболеванием пародонта.
Эти наблюдения привели к существенному изменению парадигмы пародонтологии; ученые пришли к единому мнению, что бактериальный налет является необходимым, но отнюдь не достаточным условием развития пародонтита. Стало понятно, что клинические проявления заболевания пародонта обусловлены, помимо бактериального налета, еще и средовыми, а также иммунными факторами. Благодаря этому развился новый, более осознанный подход к лечению пародонтита, предполагавший необходимость не только надлежащей гигиены полости рта, но и оценки прочих факторов, способных приводить к развитию пародонтита, а также контроля этих факторов для успешного лечения. Действительно, сегодня стоматологи признают, что бактериальный зубной налет (и его компоненты) обуславливает лишь 20% риска возникновения пародонтита, и при диагностике и лечении последнего необходимо учитывать остальные 80% модифицирующих и предрасполагающих факторов.
Возникновение пародонтальной терапии. Термин «пародонтальная терапия» был предложен Offenbacher в 1997 году для определения «быстро развивающегося направления пародонтологии, основанного на новых данных, устанавливающих строгую взаимосвязь между здоровьем или заболеванием пародонта и системным здоровьем или заболеванием». Это направление появилось вместе с научными доказательствами, заставляющими предположить, что между рядом системных заболеваний и пародонтитом существует взаимосвязь. К 2000 году доказательства того, что стоматологическое здоровье неотделимо от системного, стали очень убедительными. Значимость стоматологического здоровья для общего здоровья и самочувствия была признана главным санитарным врачом США в публикации «OralHealthinAmerica» («Стоматологическое здоровье в США»). В этом документе впервые говорилось о важности стоматологического здоровья в контексте холистического подхода к медицинской помощи. Несмотря на название, документ имел глобальную значимость. Пародонтальная терапия получила новый толчок, и ее центральная гипотеза была сформулирована следующим образом: пародонтальные инфекции и воспалительные процессы создают хроническую нагрузку на системном уровне.
Хотя впереди еще большая работа, за последние десять лет был достигнут существенный прогресс. Сегодня широко признано, что диабеты являются существенным фактором риска развития заболеваний пародонта, и наоборот, пародонтит представляет собой важный модифицирующий фактор или фактор риска в контексте гликемического контроля при диабете. Среди других заболеваний, в отношении которых исследования демонстрируют убедительные доказательства взаимосвязи с пародонтитом, можно назвать заболевания сердечно-сосудистой системы, ревматоидный артрит, ожирение и почечную недостаточность.
Нам еще предстоит установить, оказывает ли лечение пародонтита влияние на системные заболевания, но уже сегодня появляется все больше доказательств верности этой гипотезы в случае диабета, заболеваний сердечно-сосудистой системы и ревматоидного артрита. К сожалению, эта сфера существенно пострадала от конъюнктурных спекуляций: на сегодняшний день связанными с пародонтитом объявлены еще порядка 50 заболеваний, что в большинстве случаев не выглядит правдоподобно ни с биологической, ни с клинической точки зрения.
Биологическая возможность регенерации пародонта. Конечной целью пародонтологического лечения считается восстановление пародонта, поврежденного в результате пародонтита. За последние десятилетия было предложено множество способов регенерации, в большинстве своем подразумевающих кондиционирование поверхности корня и закрытие образовавшихся вследствие пародонтита костных дефектов с помощью заместителей кости.
К сожалению, эти ранние концепции были довольно наивными ввиду недопонимания основных условий регенерации пародонта, а именно – необходимости в формировании нового цемента, кости и периодонтальной связки. Заполнение дефекта веществом, не имеющим никакого отношения к последующей функциональной стадии восстановления, попросту иррационально. Тем не менее, пародонтологи стали просто одержимы идеей закрытия костных дефектов вместо того, чтобы изучать естественные процессы заживления, необходимые для регенерации пародонта. Именно игнорированием роли различных тканей в заживлении поражений пародонта объясняется повсеместное злоупотребление трансплантацией на участках внутрикостных дефектов, по-прежнему распространенное в некоторых сферах пародонтологии.
Сегодня общепризнанно, что для регенеративного лечения дефектов пародонта необходимо, чтобы каждый этап, вещество или процедура были обоснованы с биологической точки зрения.
Основанные на этом представлении плодотворные исследования Karring, Nyman и их соавторов из Гетеборга (Швеция) привели к разработке метода направленной тканевой регенерации (GTR). Хотя последняя представляет собой значительное достижение, сегодня понятно, что, несмотря на теоретическую возможность регенерации пародонта, осуществить ее на практике чрезвычайно сложно по причине широкого разнообразия клинических ситуаций и индивидуальных реакций в процессе регенерации.
Сравнительно недавно были разработаны биологические вещества и составы, нанесение которых на поверхность корня способно привести к существенной регенерации поврежденной ткани пародонта. Применение таких веществ представляет собой более простой по сравнению с GTR подход к регенерации, дающий равные, а порой и лучшие результаты. Тем не менее, как и в случае GTR, клинические результаты могут варьироваться; в этой области необходима дальнейшая работа. Кроме того, в настоящее время изучается применение мезенхимальных стволовых клеток и генетической модуляции клеток пародонта для регенерации последнего.
Будущее выглядит многообещающим, но для того, чтобы регенерация пародонта стала реальностью, потребуется, безусловно, еще много времени и усилий.
by Марк Бертолд, Австралия Количество показов: 2427www.dentoday.ru
Издательство "Поли Медиа Пресс"
10 лет городскому пародонтологическому центру "ПАКС"
В октябре 1991 года был создан городской пародонтологический центр "ПАКС". Организаторами создания ГПЦ "ПАКС" были Фонд Возрождения Санкт-Петербурга (президент Собчак А.А.) и 1-й Ленинградский медицинский институт им. акад. И.П. Павлова (ректор - профессор Яицкий Н.А.). Президентом центра стал профессор Калинин В.И., директором - Орехова Л.Ю., главным врачом - Кудрявцева Т.В. Основными целями данной структуры явились: - Улучшение материально-технической базы учебного процесса. - Совершенствование педагогической деятельности по разделу "Пародонтология". - Организация, проведение и финансирование научной работы по разделу "Профилактика и лечение заболеваний пародонта". - Оказание консультативно-диагностической, при необходимости высококвалифицированной специализированной помощи больным с различными патологиями пародонта. На базе ГПЦ проходят обучение по разделу "Пародонтология" студенты, врачи-интерны, клинические ординаторы СПбГМУ им. акад. И.П. Павлова, а также повышают квалификацию на рабочем месте врачи из ЛПУ города. Совместно с кафедрой терапевтической стоматологии СПбГМУ ведется большая научно-исследовательская работа по разделу профилактики и лечения заболеваний пародонта. Эта серьезная и важная тема изучается с разных сторон - оценки иммунной системы и иммунодефицитных состояний (Орехова Л.Ю., Оганян Э.С.), гормонального дисбаланса (Губаревская В.Л.), роли профессиональной гигиены (Антонова И.Н.) и др. За последнее пятилетие в ГПЦ разработаны и внедрены в практику компьютерные программы по диагностике, прогнозированию течения и лечению болезней пародонта, по иммунологическим и биохимическим методам обследования пациентов с патологией пародонта. В программе диагностики заболеваний пародонта использованы современные функциональные методы - реопародонтография, полярография, эхоостеометрия, допплерография. Совместно с кафедрой медицинской химии СПбГМУ разработаны криогелевые композиции (Кудрявцева Т.В.), с Институтом торфа АН - композиция с фракцией гуминовых кислот (Пиекалнитс И.Я.), с Технологическим университетом - биоситаллы остеотропного действия (Прохорова О.В.). В физиотерапевтическом кабинете ГПЦ разработаны новые аппараты и методы лечения болезней пародонта: гидрогазовакуумный массаж (Краснослободцева О.А.), ультразвуковое воздействие гелевой композиции с диоксидином (Орехова Л.Ю.). Разрабатываются вопросы морфофункциональных аспектов микроциркуляторного русла пародонта в норме и патологии, а также способы их коррекции (Иванченко И.Г., Ткаченко Т.Б., Сергеева С.С., Демченко Т.В.). ГПЦ "ПАКС" совместно с кафедрой внутренних болезней стоматологического факультета СПбГМУ (зав. кафедрой Кирсанов А.И.) оказывает консультативно-диагностическую помощь населению. За последнее пятилетие в ГПЦ разработаны и внедрены в практику компьютерные программы по диагностике, прогнозированию течения и лечению болезней пародонта, по иммунологическим и биохимическим методам обследования пациентов с патологией пародонта. В программе диагностики заболеваний пародонта использованы современные функциональные методы - реопародонтография, полярография, эхоостеометрия, допплерография. В 1996 году по инициативе ГПЦ "ПАКС" был учреждён журнал "Пародонтология", который явился первым клиническим журналом по Северо-Западному региону. Разработаны уникальные методики эстетического и функционального протезирования системой "Арт Гласс" (производства творческого партнера ГПЦ - немецкой компании Heraeus Kulzer) и хирургические методики лечения заболеваний пародонта с помощью криохирургии и лазерных технологий. Сотрудниками ГПЦ "ПАКС" подготовлено и защищено 10 кандидатских диссертаций, две докторские диссертации, получено 10 патентов. За 10 лет сделано более 50 докладов на научных форумах различного управления (региональных, российских, международных), сотрудниками опубликовано более 200 работ, выпущено 10 монографий. Сотрудники ГПЦ регулярно посещают стоматологические конференции и выставки, как на территории России, так и за рубежом. ГПЦ активно и плодотворно сотрудничает со многими ведущими стоматологическими компаниями-производителями, такими как Heraeus Kulzer (Германия), Laclede (США), Oral-B (Великобритания) и др. За годы существования ГПЦ неоднократно являлся организатором различных научно-практических конференций, в частности, в 2001 году - I Всероссийского съезда по клинической пародонтологии и Международной конференции "Пародонтология нового тысячелетия".
www.dentoday.ru
Новости пародонтологии - Parodont.pro
- Новости пародонтологии
09.02.2018
Лазерная стоматология в работе практикующего врача и руководителя клиники
1-2 марта 2018 г. впервые в Москве пройдет Мастер-класс «Лазерная стоматология в работе практикующего врача и руководителя клиники»! В ходе Мастер-класса: √ будут изучены 20 специальных методик по работе с лазером в различных областях стоматологии; √ будут рассмотрены инструменты внедрения и использования соответствующих систем в работе Вашей клиники; √ 10 часов практики, в рамках которых...
- Новости пародонтологии
18.01.2018
Пародонтит у пациентов с синдромом Чедиака-Хигаси
В данном исследовании ученые из Национального института артрита и костно-мышечных заболеваний (NIAMS), Национального института здоровья (NIH) (США) и их коллеги-соавторы из других институтов, а также Государственного университета Кампинаса (Бразилия) стремились изучить пародонтит у пациентов с синдромом Чедиака-Хигаси (СЧХ) путем определения пародонтального статуса при тяжелом и средней формах данного заболевания. Пародонтит у пациентов с синдром Чедиака-Хигаси...
- Новости пародонтологии
07.12.2017
Возможно ли избежать пародонтита, включая в рацион больше йогурта?
Можно ли избежать пародонтита, советуя своим пациентам употреблять больше йогурта? Конечно же, нет, но новое исследование показало, что у тех, кто ел больше йогурта, с меньшей вероятностью встречались болезни пародонта. Избежать пародонтита, наверное, хотел бы любой из пациентов стоматологических клиник и многие пациенты интересуются, какой продукт включить в рацион, чтобы получить желаемый эффект. В новом...
- Новости пародонтологии
04.12.2017
Атеросклероз может быть вызван не столько диетой, сколько бактериями
Как известно, атеросклероз напрямую связан с бляшками, которые формируются на стенках сосудов различного диаметра. Молекулы жира в этих бляшках, закупоривающих артерии и вены, играют не последнюю роль в повышении риска сердечного приступа и инсульта. Удивительно, но эти жировые молекулы могут исходить от бактерий, которые живут в полости рта и кишечнике, а не только быть связаны...
- Новости пародонтологии
18.09.2017
Разрушение зуба может быть остановлено приемом аспирина
Разрушение зуба, а именно его твердых тканей является одной из самых острых проблем в современно стоматологии. Исследователи из Королевского университета в Белфасте обнаружили, что аспирин может влиять на процесс разрушения твердых тканей зуба, возникающий при кариесе. Это может привести к уменьшению потребности в пломбировании зубов. Разрушение твердых тканей зуба – самое очевидное последствие кариеса, который...
- Новости пародонтологии
07.09.2017
Микрофлора полости рта зависит от наличия диабета у пациента
Микрофлора полости рта находится в прямой зависимости от наличия диабета у пациента, согласно результатам недавно проведенного в University of Pennsylvania (США) исследования. Эти данные были опубликованы в журнале «Cell Host & Microbeearlier». Результаты однозначно говорят о том, что микрофлора полости рта меняется у мышей, страдающих сахарным диабетом. Микрофлора полости рта играет важное значение в...
- Новости пародонтологии
20.08.2017
Гипергликемия может способствовать развитию кариеса, но не пародонтита.
Гипергликемия представляет клинический симптом, обозначающий повышенное содержание сахара (глюкозы) в сыворотке крови. Гипергликемия появляется преимущественно при сахарном диабете или других заболеваниях эндокринной системы. Хорошо известно, что заболевания пародонта имеют связь с сахарным диабетом. В последнее время пародонтит рассматривают как шестое по встречаемости осложнение диабета. В последнем выпуске журнала "Diabetes" от 9 авгутста 2017 года было...
- Новости пародонтологии
10.08.2017
Риск развития рака у пожилых женщин повышается при заболеваниях пародонта
В новом исследовании риск развития рака у женщин в период постменопаузы был оценен относительно наличия или отсутствия у них заболеваний пародонта. Интересно, что ни одна из обследуемых не курила. Риск развития рака различной локализации может быть связан с пародонтитом Так называемые заболевания пародонта могут на 14 процентов повысить риск развития рака у пожилых пациенток, прежде...
- Новости пародонтологии
07.08.2017
Бактерия, вызывающая пародонтит, может помочь в лечении лейкемии
Actinobacillus actinomycetemcomitans - это хорошо изученная бактерия, вызывающая пародонтит, а именно его агрессивное течение. На данный момент она рассматривается как основная причина заболеваний пародонта. Но также этот микроорганизм продуцирует белок, который может быть использован для уничтожения клеток при развитии лейкемии у животных, согласно сообщениям Rutgers School of Dental Medicine. Это может иметь большое значение для...
- Новости пародонтологии
13.07.2017
Привлекательная улыбка: ученые раскрыли ее секрет
Привлекательная улыбка - понятие очень субъективное, ведь мы можем диаметрально противоположно воспринимать эмоции другого человека. Доброжелательная, скромная, открытая- одну и ту же улыбку можно оценить по-разному. Восприятие выражений лица при социальных контактах и в невербальном общении может отличаться. Новое исследование, проведенное учеными из the University of Minnesota, посвящено этому вопросу. Что такое привлекательная улыбка В...
parodont.pro
Издательство "Поли Медиа Пресс"
14 ноября 2005 г., в Центре пародонтологии ЦНИИ Стоматологии под эгидой СтАР состоялся заключительный тур 4-го ежегодного Общероссийского чемпионата в номинации «Клиническая пародонтология».
Всего в финальном соревновании приняли участие 8 конкурсантов, приехавших из различных городов России и представивших ее различные стоматологические клинические центры. Жюри возглавил проф. А.И. Грудянов - руководитель Отделения пародонтологии ЦНИИ Стоматологии, председатель Секции пародонтологии СтАР, председатель Организационного комитета. В состав жюри вошли также проф. Орехова Л.Ю. (С-Пб), проф. Иванов B.C. (РМАПО), проф. Янушевич О.О. (МГМСУ), проф. Дмитриева Л.А. (МГМСУ), к.м.н. Стариков Н.А. (ЦНИИС), к.м.н. Фролова О.А. (ЦНИИ Стоматологии). Почетным членом жюри стал победитель 1-го конкурса пародонтологов - А.В. Николаев. Особую многофункциональную роль в чемпионате выполнял к.м.н. А.И. Ерохин - сотрудник Отделения пародониологии ЦНИИ Стоматологии, асс. Кафедры терапевтической стоматологии ММА им. И.М. Сеченова, он вел фотосъемку всех этапов конкурсной борьбы, и многие из его фотографий украшают наш материал кроме того, входя в организационный комитет чемпионата, он подготовил пациента (интересного с точки зрения пародонтологи-ческой клинической ситуации, что позволило провести консилиум с участием Звезд пародонтологии и, одновременно, показательный мастер-класс для участников финала.
Во время проведения конкурса лечебные кабинеты, выделенные для финальных соревнований, стали местом притяжения многих видных специалистов различных стоматологических профессий, а также представителей стоматологических фирм. И пусть они не имели возможности наблюдать за соревнованием непрерывно, но все же их даже кратковременное участие в конкурсе создавало торжественную и праздничную атмосферу в отделении. Кроме того, значительно повышало у конкурсантов чувство личной ответственности перед собой и перед своими учителями, которые подготовили и делегировали их на конкурс молодых паро-донтологов - представлять свои организации и их профессиональный клинический уровень. Всех гостей и участников конкурса приветствовали директор ЦНИИ Стоматологии проф. А.А. Кулаков; председатель НАЭС, руководитель Отдела терапевтической стоматологии, проф. И.М. Рабинович; руководитель отделения кариесологии и эндодонтии И.В. Безрукова; декан Стоматологического факультета, зав. Кафедрой терапевтической стоматологии И.М. Макеева и многие другие авторитетные стоматологи.
Предварительно организаторами (коллективом Отделения пародонтологии ЦНИИ Стоматологии) были отобраны и подготовлены пациенты с интересными, с точки зрения паро-донтолога, клиническими случаями (включая анамнез, рентгенографию, некоторые клинические анализы и пр.). На всем протяжении конкурса участникам в организационном плане помогали сотрудники Отделения пародонтологии. «Разыграв» пациентов, задача конкурсантов заключалась в грамотном профессиональном представлении перед членами жюри клинической ситуации своего пациента - диагноза и его обоснования, плана лечения, ответа на сопутствующие вопросы членов жюри. Как и всегда, несмотря на «мандраж», конкурсанты должны были продемонстрировать свои лучшие знания, навыки - и теоретические, и клиническое профессиональное мышление, умение отстаивать и мотивировать свою точку зрения. И здесь важно отметить, что конкурс приобрел некоторую особенность: клиническая пародонтология, в какой-то мере, стала приобретать облик стратегической пародонтологии - от участников потребовалось провести обследование пациента, дифференциальную диагностику, обосновать методы исследования, составить комплексный план лечения, в котором алгоритм действий пародонто-лога зависит и связан непосредственно с результатами лабораторных, функциональных и клинических исследований, требует согласованных действий, рекомендаций и корректировок со стороны специалистов других профессий (и не только стоматологических) - ортодонтов, ортопедов, хирургов-имплантологов, иммунологов, эндокринологов и др. специалистов. Участие в качестве члена жюри специалиста-ортопеда, дающего (помимо мнений экспертов па-родонтологических) экспертную профессиональную оценку в ортопедическом аспекте - было уместным и дополняющим поучительным элементом конкурса. Вероятно, если бы в нем принял участие эксперт-ортодонт, конкурсная борьба стала бы еще более острой и захватывающей. Каждое финальное выступление вызывало большой интерес у всех собравшихся в отделении - не только членов жюри, но и гостей, болельщиков, самих конкурсантов, сотрудников Центра. Каждое высказанное членом жюри мнение было для всех присутствующих своеобразным уроком по пародонтологии.
Для участия в финальном конкурсе чемпионата по результатам заочного теоретического тура (по пятибалльной системе оценивались рефераты работ от претендентов) были допущены Западаева С.В., Юргина М.В., Февралева А.Ю., Столяренко Е.В., Федорук Е.В., Качан Н.Ю., Луковенко А.А., Сумлинский И.В. Как обычно, голосование было анонимным, но его результаты полностью совпали с озвученными позже впечатлениями в ходе традиционного критического разбора. Жюри вынесло следующее решение:
1 место - Февралева Александра Юрьевна (Москва, «Центр Эстетической Стоматологии») 2 место занял Сумлинский Игорь (Клиника Ю. Уральской Ж.Д.) 3 место завоевала Федорук Екатерина - (Свердловская обл. г. Первоуральск, ООО «Дента-Л») 4 место и специальный приз от фирмы КомДенталь был присужден Западаевой Светлане (ЦНИИС)
Приятным сюрпризом для членов жюри была реферативная работа Евгении Журавлевой - самой молодой участницы конкурса, ученицы к.м.н. А.И. Ерохина. Ее работа в качестве эксклюзивного исключения была рассмотрена жюри и оценена самым высоким баллом.
Порадовали своей активностью, проявлением живого интереса, очень существенными профессиональными призами постоянные спонсоры пародонтологов:
Генеральный спонсор чемпионата - компания EMS, Швейцария (предоставила замечательный приз - Piezon-Master)
Второй спонсор - компания «Натусана»
Третий спонсор - компания Юник Фармасьюти-кал Лабораториз («Метро-гил Дента»)
Партнерами конкурса выступили компания «КомДенталь» (презентовавшая участникам пародонтологи-ческие инструменты) и некоторые другие компании (сверх уже выбранного списка спонсоров).
Информационным партнером конкурса, помимо изданий СтАР, было наше издательство ПолиМедиа-Пресс (газета «Стоматология Сегодня» и журнал «Пародонтология»). Участникам конкурса и членам жюри были презентованы издания - свежий номер журнала «Пародонтология» и наше совместное с клиникой «Домодент» красочное издание - пособие для пациентов- «Болезни Пародонта» (авторы - Е.В. Жданов, гл. врач клиники и врач О.В. Савич; кроме того, пародонто-логи этой клиники - авторы многочисленных публикаций в журнале «Пародонтология»).
Несколько слов о победителе этого чемпионата - Александре Юрьевне Февралевой. Ее выступление на конкурсе выгодно отличала практическая и клиническая зрелость, умение отстаивать свое мнение. Александра окончила Ставропольскую государственную медицинскую академию, интернатуру в Городской стоматологической поликлинике при СГМА. В выборе специализации в стоматологии, совершенствовании знаний и навыков в ней - во многом обязана преподавателю Кафедры хирургической стоматологии СГМА Кра-жану С.Н. С 2002 г. начала работать в Москве. В настоящее время А. Февралева продолжает совершенствовать свои знания и умения в пародонтологии, специализируется в хирургической пародонтологии, занимается имплантологией. Своим теперешним учителем с благодарностью называет коллегу Жданова Е.В. Особую роль в успехе стоматологического лечения Александра отводит информированности своих пациентов, стараясь в их лице создать сотрудничающего с врачом пациента - помощника (сейчас употребителен термин «комплаентный» пациент). Именно поэтому в ее ближайших планах - создание брошюры для пациентов по имплантации.
Еще хочется добавить и такой факт: радушно принимая гостей и участников чемпионата, во время его проведения, координационно-техническую помощь оказывали очень многие сотрудники Центра пародонтологии, в том числе и к.м.н. К.Е. Москалев. Участники конкурса стали обладателями совсем «горячего» издания«Инструментальная обработка поверхностей корней зубов», авторами которого являются А.И. Грудянов и К.Е. Москалев.
Вечером этого же дня, после конкурсной борьбы, все участники отметили свое выступление общей дружеской встречей в ресторане. Обменялись мнениями между собой. Услышали от членов жюри оценку своих выступлений и профессиональные напутствия. Получили ценные и поощрительные награды от спонсоров, дипломы. Специальный приз ЦНИИ Стоматологии был традиционным и щедрым - возможность пройти обучение в Центре пародонтологии ЦНИИС.
До встречи на 5-ом Общероссийском чемпионате пародонтологов.
Материал подготовила Галина Масис
www.dentoday.ru








